Ни одно из глазных проявлений, связанных со СПИД, не вызывается напрямую вирусом иммунодефицита человека (ВИЧ). Однако вирус изолирован из глазных тканей,идентифицирован в клетках на поверхности глаза, а также обнаружен в слезе.
Никакие проявления не уникальны для СПИД, но до ассоциации со СПИД они так редко встречались, что большинство офтальмологов с ними не знакомы. Опыт работы офтальмологов свидетельствует, что у больных со СПИД за время их болезни возникает либо одно, либо несколько заболеваний глаз.
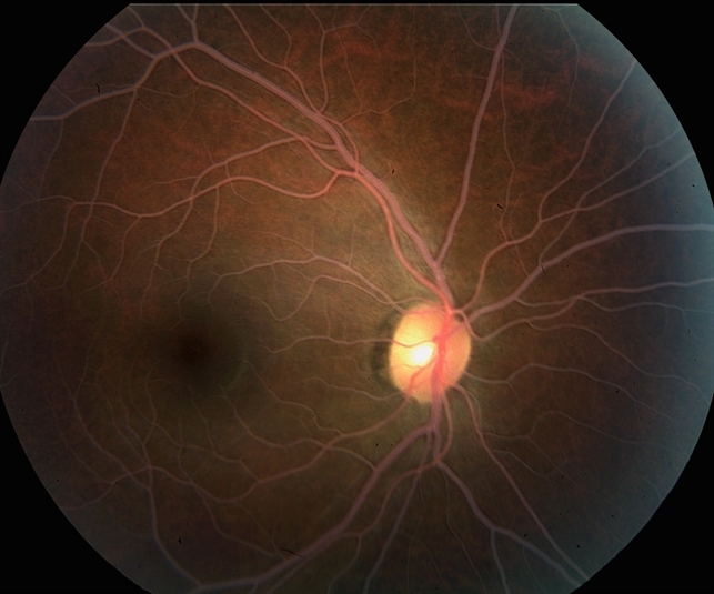
Патология на глазном дне
Глазные осложнения встречаются у 70% больных СПИДом.
Четыре основные категории, это:
- Микроангиопатии . Конъюнктивальная микроваскулопатия У 70-80% ВИЧ-позитивных пациентов отмечаются изменения микрососудовконъюнктивы, включающие расширение и сужение сосудов,образование микроаневризм. Эти изменения коррелируют с появлением микроангиопатии сетчатки.
- Оппортунистические инфекции
- Опухоли
- Нейроофтальмологические поражения, связанные с интракраниальными инфекциями и опухолями

В конъюктивальных сосудах изменения в крови включают зернистость кровяного столбика,связанную с агрегацией эритроцитов и уровнем кровотока. В сосудах сетчатки идентифицированы ультраструктурные изменения, заключающиеся в потере и дегенерации перицитов, отеке эндотелия клеток, утолщении базального слоя и сужении просвета капилляров.
Однако подобные изменения имеются при диабетической ретинопатии, неконтролируемой гипертонической ретинопатии, хронической миелогенной лейкемии, системной красной волчанке и т.д.
И здесь необходимо дать унифицированное объяснение сходству офтальмоскопических проявлений различных, несвязанных между собой заболеваний.
Они вызваны реологическими изменениями. При равных концентрациях более крупные молекулы, особенно наиболее асферичные из них, оказывают наибольшее влияние на агрегацию клеток и вязкость крови. Асимметричная молекула фибриногена, имеющая молекулярный вес приблизительно в 2 раза больший, чем у иммуноглобулинов, оказывает в 20 раз большее влияние на межклеточные взаимодействия.
Увеличение уровня фибриногена приводит к неспецифическому связыванию рядом расположенных клеток белками плазмы.Происходит агрегация эритроцитов –наиболее важная причина нарушения микроциркуляции. Это механизм утяжеления диабетических ретинопатий.
У больных СПИДом также имеется связь между уровнями фибриногена и тяжестью микроциркуляторных нарушений. Усиливает агрегацию эритроцитов увеличение уровней ЦИК ииммуноглобулинов. Анемия (низкий уровень гематокрита у больных приводит к транзиторным эпизодам усиления ишемии и образованию ватоподобных экссудатов.
Врачи отмечают, что глазные проявления СПИД могут быть разнообразными и часто служат индикатором прогрессирования заболевания. Наиболее распространенными являются ретинит, вызванный вирусом герпеса, и токсоплазмоз, который может привести к серьезным повреждениям сетчатки. Специалисты подчеркивают важность регулярных офтальмологических осмотров для пациентов с ВИЧ, так как ранняя диагностика и лечение могут значительно улучшить качество жизни. Кроме того, врачи акцентируют внимание на необходимости комплексного подхода к терапии, который включает как антиретровирусные препараты, так и специфическое лечение глазных заболеваний. Это позволяет не только сохранить зрение, но и улучшить общее состояние здоровья пациентов.

Липемия ретиналис

2 механизма развития липемии:
- Освобождаются цитокины как результат иммунного ответа триглицеридов на системную инфекцию.
- Острые липидные изменения встречаются при использовании ингибиторов протеаз.
Гипотеза: игибиторы протеаз, используемые в лечении, структурно подходят к протеинам, кототорые регулируют метаболизм липидов. У больных СПИД липидные отклонения могут вызвать кардиоваскулярные болезни и панкреатиты.
Лечение
- Терапия, снижающая уровень липидов.
- Ацикловир, зидовудин, ламивудин, диданозин, триметоприм-сульфат, ксазол, рифабутин, фоскарнет.
Глазные проявления СПИД могут быть разнообразными и часто становятся одним из первых сигналов о наличии вируса в организме. Многие пациенты отмечают, что у них возникают проблемы с зрением, такие как размытость, светобоязнь или даже потеря зрения. Врачи подчеркивают важность своевременной диагностики, так как некоторые глазные заболевания, связанные с ВИЧ, могут привести к необратимым последствиям. Например, цитомегаловирусная ретинопатия — одно из наиболее серьезных осложнений, которое может развиться у людей с ослабленной иммунной системой. Люди, столкнувшиеся с этими проявлениями, часто делятся своим опытом в социальных сетях, подчеркивая необходимость регулярных обследований и обращения к специалистам. Обсуждения на форумах помогают повысить осведомленность о важности защиты зрения и своевременного лечения.

Оппортунистическая инфекция в глазу
Оппортунистическая инфекция в глазу является серьезным осложнением течения заболевания у больных СПИДом. К настоящему времени в глазу идентифицированы вирусы (цитомегаловирус, вирус простого герпеса, Herpes Zoster, Varicella Zoster), бактерии (Mycobacteria avium-intracellulare, стафилококк, стрептококк), грибковые инфекции (Criptococcus neoformans, Aspergillus Fumigatus,кандидоз, кокцидиоидоз, Histoplasma capsulatum), протозойные инфекции (Toxoplasma gondii,криптоспоридиоз, микроспоридиоз) и др. Так как развитие инфекции в глазу вызывает снижение зрения, то офтальмологи зачастую первыми фиксируют появление инфекционного процесса, который уже имеется во всем организме.
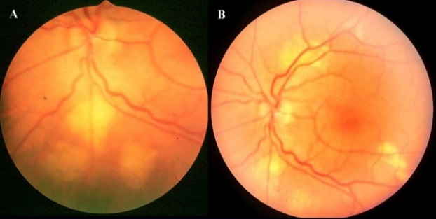
Цитомегаловирусная ретинопатия
Цитомегаловирусная ретинопатия — наиболее частое заболевание у больных со СПИД. Возникает у 30-40% ВИЧ-инфицированных пациентов в развитых странах, обычно при количестве CD4+-лимфоцитов ниже 100 клеток в 1 мл.Большинство взрослых инфицируются ЦМВ втечение жизни, но у здоровых лиц вирус не вызывает серьезного заболевания. Развитию данной патологии способствуют нарушения микроциркуляции, позволяющие проходить вирусным элементам через поврежденные сосудистые стенки в ретинальную ткань.
Интервал между диагнозом СПИД и некротизирующим ЦМВР составляет 9 месяцев. Этот эндотелиальный и нейротропный вирус вызывает лизис клетки и болезнь распространяется от клетки к клетке как при пожаре, имеются геморрагии, ишемические проявления (окклюзивный артериит), перифлебит и некроз тканей с мягкой гранулоцитной реакцией. Исследование передней камеры глаза и стекловидного тела обнаруживают незначительное воспаление, зрительный нерв поражается в 5% случаев.
Пациенты жалуются на:
- появление плавающих пятен,
- фотопсию,
- выпадение поля зрения,
- пелену перед глазами.
Наибольшие потери зрения связанны с прогрессированием ретинита, который приводит к разрушению макулы и отслойке сетчатки у 20% больных.

Качество жизни больных значительно улучшилось после появления новых препаратов среди ингибиторов протеаз, которые могут применяться вместе с антивирусными средствами, такими как диданозин. Назначается всегда и немедленно, поскольку увеличивает выживаемость пациентов. В первые годы распространения заболевания у больных ЦМВ безвариантно развивалась слепота. Лечение альфа-интерфероном и интерлейкином- 2 не было успешным.
В лечении используется ганцикловир — в/в в дозе 10 мг/кг каждые 12 часов в течение 2-3 недель, затем по 5 мг/кг/день в течение недели, затем по 3,000 мг/день после 3 недель в/в введения.
Лечение проводится под контролем общего анализа крови, поскольку препарат вызывает нейтропению и тромбоцитопению. Его не следует назначать больным, у которых количество нейтрофилов менее 500/мк и уровень тромбоцитов менее 25000/мкл. Профилактика проводится ганцикловиром при наличии в крови антител к ЦМВ и CD4<75/мкл внутривенно 5 мг/кг/день по 5-7 дней через неделю. Можно использовать валтрекс.
В лечении также используется фоскарнет в/в. Препарат не вызывает миелосупрессии, может быть использован с азотимидином. Из-за полярности препарата он медленно входит в клетки, поэтому достаточно одной инъекции в день.
Применяют интравитреальные имплантанты – витрасерт – постоянно высвобождающие 1 мг вещества в час в течение 8 месяцев.
Цидофовир, который используется внутривенно и интравитреально в комбинации с пробенецидом.
Представляет интерес использование подкожно человеческого гранулоцитно- моноцитного стимулирующего фактора, который может стимулировать предшественники белых кровяных клеток.
Используется моноклональная терапия антиЦМВ антителами, ингибиторы протеаз (ритонавир по1200 мг/сут., нельфинавир (вирасепт) по 2250 мг/сут., индинавир по 2400мг/сут., саквинавир 2400мг/сут).
Применение антиретровирусной терапии привело к снижению распространенности ЦМВ- ретинита, изменению его течения, снижению выраженности воспаления.
Herpes zoster

Характерна везикулезная экзантема, инфекция поражает глазную ветвь тройничного нерва, поэтому пациенты жалуются на интенсивную боль. Патология встречается у 5-15% ВИЧ-инфицированных больных, чаще у лиц моложе 50 лет. Могут развиваться кератит, склерит, увеит, ретинит и энцефалит (офтальмо-дерматологический синдром).
У больных СПИД Herpes zoster выглядит сходно с острым некрозом сетчатки, появляются глубокие периферические очаги на уровне хориоидеи размером до 1/3 – 1/2 ДД (диаметра диска), иногда сливные, напоминающие цитомегаловирусный ретинит. Характерно диффузное утолщение всей сетчатки,вовлечение зрительного нерва.
Во всех случаях ретинит в заднем полюсе начинался с небольшого васкулита с сосудистыми муфтами. В исходе – атрофия и некроз сетчатки, бледный ДЗН и узкие сосуды. Возможна тракционная отслойка сетчатки из-за витреального воспаления.
Ретинит, вызванный вирусом опоясывающего герпеса, занимает второе место среди причин некротического ретинита у ВИЧ-позитивных пациентов (1-4%). Характерны быстрое развитие, вовлечение второго глаза, значительная потеря зрения.
Herpes zoster идентифицировали в хориоидальных образцах и витреальном аспирате энуклеированных глаз. Терапия предусматривает длительное комбинированное применение видарабина, ацикловира, фамцикловира, фоскарнета или ганцикловира.
Вирус простого герпеса
Вирус простого герпеса может поражать как передний, так и задний отдел глаза. При поражении переднего отдела глаза могут быть кератит и иридоциклит. При этом могут быть боль, светобоязнь, слезотечение, снижение чувствительности роговицы, снижение остроты зрения.
При поражении заднего отдела глаза изменения, выявляемые на глазном дне, сходны с изменениями при цитомегаловирусном ретините. Характерны быстрое развитие, вовлечение глубоких слоев сетчатки и множественные поражения, возможен некротический ретинит. Высок риск отслойки сетчатки, вовлечения второго глаза, быстрой потери зрения. Герпетический кератит у ВИЧ-инфицированных пациентов отличается склонностью к частому рецидивированию и резистентностью к терапии.
В лечении герпетической инфекции используется ацикловир (зовиракс, виролекс) перорально по 0,2-0,4 г пять раз в сутки до выздоровления (стандартная схема). В тяжелых случаях разовая доза препарата может возрастать до 0,8 г, а при генерализованных формах ацикловир следует применять внутривенно по 10-12 мг/кг каждые 8 час. Также для лечения герпетической инфекции могут применяться фамцикловир (фамвир) по 250-500 мг, валацикловир (валтрекс) по 0,5-1 г 3 раза в сутки.
Criptococcus neoformans
Criptococcus neoformans – грибок, предрасположенный к поражению невральной ткани. Это сапрофит от 4 до 8 мм в диаметре, окруженный полисахаридной капсулой. Первоначальная локализация инфекции – язык, где грибок длительно персистирует в латентной стадии. Гематогенная диссеминация может поражать любой орган, особенно мозг (70-90% случаев).Это наиболее частая грибковая инфекция и без СПИД.
У больных возникает криптококковая оптиконейропатия, криптококковый менингит, арахноидит, часто со спаечным процессом в области турецкого седла, что требует хирургического рассечения спаек. Криптококковая инфекция у больных СПИДом возникает у 5-10% пациентов завремя их жизни, 10-15% которых имеют кожные поражения. Наиболее часто они располагаются на лице и шее, реже на туловище и конечностях.
Типичны папулы с крошками и центральной геморрагией, напоминающие контагиозный моллюск. Криптококк может вовлекать задний сегмент глаза, вызывая отек и атрофию ДЗН, эндофтальмит, хориоретинит. У больных может возникать неврологическая симптоматика, свидетельствующая о патологии ЦНС: фотофобия, диплопия, амблиопия, нистагм, офтальмоплегия, анизокория, блефароптоз.
Амфотерицин В (1 мг/кг ежедневно) и флюцитозин (150 мг/кг ежедневно).
Также антиретровирусная терапия (индинавир 800 мг 3 раза в день, ставудин 40 мг 2 раза, ламивудин 150мг 2 раза в день). Полная клиническая ремиссия возникает примерно спустя 5 недель после начала терапии.
Синоорбитальный аспергиллез у больных СПИД
Синоорбитальный аспергиллез – обычно прогрессирующая, фатальная оппортунистическая инфекция у больных СПИД в стадии вторичных заболеваний.
Аспергиллы – сапрофитные грибы, живущие в нашем окружении. Они могут вызывать инвазивные и неинвазивные инфекции у иммунокомпетентных пациентов без СПИД.
Поражение орбиты и этмоидального синуса
Пациенты жалуются на головную боль, проптоз, наружные признаки воспаления минимальны, острота зрения — от 20/20 до 20/50. Всем пациентам рекомендуется хирургическое лечение – вскрытие и дренирование синусов, удаление масс.
В лечении используется амфотерицин В (в концентрации 1мг/мл), флюконазол (дифлюкан). В лечении также используются ингибиторы протеаз и ингибиторы обратной транскриптазы.
При ухудшении состояния и слабом эфекте от консервативного лечения пациентам выполненяется экзентерация орбиты.
Токсоплазмоз глаз при СПИДе
Развивается у 1-2% ВИЧ-позитивных больных. Характерно развитие умеренно выраженного воспаления, возникновение на сетчатке пигментированных рубцов. У ВИЧ инфицированных вовлекаются оба глаза,однако возможно и одностороннее поражение. Показано исследование на наличие в сыворотке IgM и IgG. При выраженной иммуносупрессии результаты могут быть отрицательными. В 50% случаев развивается токсоплазмоз головного мозга, протекающий в форме энцефалита.
Клиндамицин, спирамицин, азитромицин, пириметамин, сульфаниламиды, фансидар, метакельфин.. Профилактика проводится при СD4< 200 мкл и наличии в крови антител к токсоплазме.
Клинический случай:
Больная 17 лет с токсоплазмозом и СПИД, жаловалась на внезапную потерю зрения на правый глаз. При исследовании выявлены IgG к токсоплазме в крови, острый увеит с диффузным расширением всех ретинальных сосудов, серозной макулярной отслойкой и пигментированным хориоретинальным рубцом.
В стекловидном теле – выраженная клеточная реакция.

Ангиит развивается при СПИД и токсоплазмозе, может сопутствовать лейкемии, лимфоме, аутоиммунным болезням, повышению титров к стрептолизину и вирусу Эпштейн-Барра. В идиопатических случаях рекомендовано лечение кортикостероидами внутрь.
В данном случае ангиит вторичен к токсоплазмозному хориоретиниту. Токсоплазмозный хориоретинит может считаться причиной ангиита на глазах с существующими хориоретинальными рубцами.
- диффузное расширение всехретинальных сосудов,
- перивенулярные геморрагии,
- серозная макулярная отслойка
- пигментированный хориоретинальный рубец
Лечение: 1мг/кг преднизолон, пириметамин, сульфадиазин ежедневно внутрь
Больной был назначен пириметаминвнутрь (0.05 г в сутки) в сочетании с сульфадиазином (6 г в сутки в четыре приема), а также преднизолон 1 мг/кг ежедневно внутрь. Спустя 2 дня инфильтрация стала меньше, начал формироваться хориоретинальный рубец. Спустя 3 месяца после начала лечения выявлены сужение ретинальных сосудов, изменение пигментации макулы и побледнение ДЗН.
Другие инфекционные поражение заднего полюса глаза

Лечение пневмоцисты:
триметоприм- сульфаметоксазол (ко-тримоксазол, бактрим, септрин, бисептол) по 1 табл. 3 дня подряд каждую неделю. При непереносимости – дапсон по 0,05 1 раз в сут. перорально, пентамидин (4 мг/кг 1 раз в сут.) плюс клиндамицин (далацин, климицин) 0,45 1 раз в сут. Перорально или парентерально по 0,6 г каждые 6 часов ежедневно.
Билатеральные бактериальные кератиты после лазерного кератомилеза у пациента со СПИД
55 летнему белому мужчине с миопией -5,0Д на ОД и-3,0Д на ОС был выполнен лазерный кератомилез. У пациента 10 лет назад была радиальная кератотомия на ОС. Оппортунистические инфекции отсутствовали. Лимфоциты Т-хелперы составляли 300 клеток/мм3. Пациент получал ингибиторы протеаз. Через день после операции появились белые инфильтраты на роговицах. Взят соскоб на бактериальную культуру на левом глазу. Диффузные инфильтраты закрывали радужку и хрусталик, в передней камере была клеточная реакция без гипопиона. В бактериальной культуре получены колонии золотистого стафиллококка, чувствительного к цефазолину. Visus пациента составил счет пальцев у лица OU.
Лечение:
капли цефазолин 50 мг/мл, тобрамицин15 мг/мл. Промыты клапаны и стромальные ложа 0,3% офлоксацином, бандажные контактные линзы поставлены на глаза.
Через 8 недель инфильтрат исчез на ОД, на ОС была выполнена сквозная кератопластика из-за низкого зрения 20/200. Через 9 месяцев visus ОД составил 20/25 с рефракцией -5,5 Sрh + 5,25 cyl 1200, на ОС 20/25 срефракцией -5,0 Sрh +2,75 cyl 250.
Общее здоровье пациента и Т-хелперы осталисьбез изменений.
ВЫВОД: избегать билатеральных хирургических вмешательств у пациентов с иммунодефицитом.
Интроокулярная В-клеточная лимфома у больных СПИД
У пациентов с ВИЧ повышенный риск развития экстранодальной лимфомы. Распространенность лимфом, связанных со СПИД, неходжкинских, составляет 20%. Глаза редко являются первичным проявлением болезни.
Диагноз базируется на клинических находках. При этом заболевании наблюдается ретинальные поражения и витриит.
Существует 3 типа В-клеточных интроокулярных лимфом (ретикулоклеточных сарком):
- Ретинальная лимфома, связанная с первичной лимфомой ЦНС
- Изолированная окулярная лимфома;
- Хориоретинальная лимфома, связанная с системной лимфомой;
У пациента 37 лет диагностирован ВИЧ благодаря пневмонии (pneumocystic carinii). Развился ЦМВ-ретинит. СD4 Т-лимфоциты составили 13 клеток/мм3.
OU: выявлена клеточная реакция в передней камере и стекловидном теле, ретинальные поражения кремового цвета, геморрагии и эксудативная жидкость. Ретинальные поражения вовлекали верхне-назальный квадрант правого глаза и верхне-височный квадрант левого глаза. Выполнена витрэктомия и ретинальная биопсия верхне-височного квадранта левого глаза. Витреальная биопсия не выявила атипичных, злокачественных клеток, инфекционных организмов. На ретинальной биопсии выявлены участки некротизированной ретины и опухолевые клетки.
Пациента полностью обследовали (грудную клетку, живот, таз, мозг). Исследования были отрицательными. Ретинит захватывал новые участки глазного дна. Через 2 года visus составил 20/400 ОД и светочувствительность на ОС.
Слева: катаракта, атрофия ДЗН,склероз ретинальных сосудов. Появилась неврологическая симптоматика.
Проводимое лечение: ганцикловир 5мг/кг 2 раза в день, фоскарнет 90мг/кг каждые 12часов, радиотерапия (всего 450 Gy, 25 сеансов) . Пациент умер от осложнений, вызванных ЦНС-лимфомой.
Интраокулярная неходжкинская лимфома хорошо известна для иммунокомпетентных пациентов, но очень редка для ВИЧ-инфицированных пациентов. Неходжкинская лимфома ЦНС обычно проявляется как поражение сетчатки субретинального пространства зрительного нерва. Первоначальной локализацией ЦНС лимфомы может быть мозг, спинной мозг или глаз, с последующим распространением запределы ЦНС.
При системной лимфоме обычно вовлекается увеальный тракт, благодаря инвазии через хориоидальную циркуляцию. При системной лимфоме часто вовлекаются кости, язык, печень, ЖКТ. Системная лимфома у ВИЧ-негативных пациентов обычно ограничивается расположением в лимфоузлах более чем в 50% случаях.
При СПИД-системной лимфоме экстранодальная болезнь замечается у более чем 80%пациентов. Витрииты и бело-кремовые очаги характерны для всех локализаций. Ретинальная биопсия позволяет установить точный диагноз.
У больных лимфомами при СПИД эффективно облучение, системная химиотерапия (винкристин,адриамицин, блеомицин), используются ингибиторы обратной транскриптазы, ингибиторы протеаз, ганцикловир, фоскарнет.
Саркома Капоши
Высоковаскуляризированная безболезненная мезенхимальная опухоль, поражающая кожу и слизистые оболочки примерно у 25% ВИЧ-позитивных пациентов. У 20% таких пациентов выявляется бессимптомная саркома Капоши век или конъюнктивы, которая может иметь сходство с халазионом или субконъюнктивальным кровоизлиянием соответственно.
При саркоме Капоши эффективно облучение, хирургическое иссечение (при локализации опухоли на веках часто осложняется кровотечением), локальная криотерапия и внутриопухолевое введение винбластина. При распространенной саркоме Капоши показана системная химиотерапия.
Нейроофтальмологические симптомы
Нейроофтальмологические поражения встречаются у 10-15% ВИЧ-инфицированных пациентов. Они связаны с интракраниальными инфекциями и опухолями. Основные причины подобных нарушений – криптококковый менингит и энцефалит, лимфома ЦНС, интракраниальный аспергиллез, токсоплазмоз, нейросифилис и др. Сходные проявления характерны также для ВИЧ-индуцированной энцефалопатии, прогрессирующая мультифокальной лейкоэнцефалопатии, вызываемая паповавирусом.
У больных может возникать неврологическая симптоматика, свидетельствующая о патологии ЦНС: фотофобия, диплопия, амблиопия, нистагм, офтальмоплегия, анизокория, блефароптоз, параличи черепных нервов.
На глазном дне отмечают отек зрительного нерва, связанный с повышением внутричерепного давления, характерны выпадения поля зрения. В целях уточнения диагноза показано проведение ядерно- магнитного резонанса и люмбальной пункции с последующим цитологическим, культуральным исследованием ликвора и определением в нем различных антител и антигенов.
Лечение предусматривает облучение и химиотерапию в случае лимфомы и специфическую антимикробную терапию при обнаружении инфекционного агента. Раннее распознавание нейроофтальмологических симптомов способствует более успешному лечению опухолей мозга и инфекций у больных СПИД.
Общие принципы лечения СПИД
Базисная этиотропная терапия больных ВИЧ-инфекцией включает в себя противоретровирусую терапию (направленную на подавление репликации вируса) и химиопрофилактику вторичных заболеваний.
Противоретровирусная терапия.
К настоящему времени разработано значительное количество специфических антиретровирусных средств, которые по механизму действия подразделяются на 2 группы:
- ингибиторы обратной транскриптазы (нуклеозидные и ненуклеозидные). Нуклеозидные — зидовудин – АZT (азидотимидин, ретровир, тимозид) по 600 мг/сут, диданозин – ddi (видекс) по 250- 400 мг/сут, зальцитабин — ddc (хивид) по 2,25 мг/сут, ламивудин — ЗТС (эпивир) по 300 мг/сут, ставудин – d4T (зерит) по 60-80 мг/сут. Ненуклеозидные — невирапин (вирамун) по 400 мг/сут, делавердин (рескриптор) по 1200 мг/сут.
- ингибиторы протеазы. Индинавир (криксиван) по 2400 мг/сут. , саквинавир (инвираза) по 1800 мг/сут, нельфинавир (вирасепт) по 2250 мг/сут, ритонавир (норвир) по 1200 мг/сут.
Ранее противовирусная терапия осуществлялась одним только азидотимидином. При этом срок выживания от начала клинических проявлений СПИДа продлевался в среднем до 2 лет ( в отличие от 6 мес без лечения).
С 1996 г. было предложено проводить комбинированную терапию ВИЧ-инфекции двумя, а лучше тремя препаратами Изучение сочетанного лечения выявило выраженный терапевтический эффект (до 80-90%) в сравнении с монотерапией (до 20-30%). Наиболее часто 2 синтетических нуклеозида (один из них, как правило, азидотимидин) сочетают с одним ингибитором протеазы.
Основным показанием к назначению противовирусной терапии является наличие вирусной репликации, при этом концентрация РНК ВИЧ в крови должна быть не менее 5000 копий/мл.
При невозможности выполнить ПЦР этиотропноt лечение назначается при наличии клинической симптоматики, а при ее отсутствии ориентиром является количество Т-хелперов менее 500/мкл.
Необходимо отметить, что целесообразно начинать комбинированную терапию на более ранних стадиях ВИЧ-инфекции, включая острую фазу. По мере прогрессирования болезни и перехода в стадию вторичных заболеваний эффективность сочетанного лечения падает.
Оценку эффективности противоретровирусной терапии осуществляют на основании следующих критериев:
- достижение клинической ремиссии,
- снижение уровня виремии вплоть до ее исчезновения,
- повышение содержания Т-хелперов.
В этой связи определять РНК ВИЧ и СД4-лимфоциты рекомендуется через 1 мес. от начала лечения и в последующие каждые 3-6 мес.
Многие эксперты считают, что комбинированную терапию нужно проводить пожизненно. Однако есть точка зрения, что необходимо после годичного курса лечения сделать перерыв, обследовать больного и при ее необходимости ее продолжить теми же препаратами или их заменить.
Кроме того, длительная антиретровирусная терапия способствует развитию резистентности вируса к данным препаратам. Вот почему при отсутствия снижения РНК ВИЧ в крови через месяц от начала лечения или при повышении ее уровня в три и более раз необходимо изменения в схему терапии. Основанием для этого является также снижение уровня Т-хелперов, клиническое ухудшение и токсические эффекты.
Замена препаратов производится путем отмены одного из них и назначения нового ингибитора обратной транскриптазы или протеазы при тройной терапии или присоединение второго ингибитора протеазы (всего 4 препарата).
Если больной получал двойную терапию, то добавляется третий препарат. В настоящее время существуют методы чувствительности ВИЧ к используемым средствам. Таким образом, использование комбинированной терапии, особенно на ранних стадиях ВИЧ-инфекцции, может, несомненно, способствовать не только значительному увеличению продолжительности жизни больных, но и улучшению ее качества, возвращению работоспособности, снижению их потенциальнй опасности для окружающих.
Вопрос-ответ
Какие глазные заболевания могут возникнуть у людей с СПИДом?
У людей с СПИДом могут развиваться различные глазные заболевания, включая ретинит, вызванный вирусом герпеса, токсоплазмоз, а также оппортунистические инфекции, такие как цитомегаловирусный ретинит. Эти состояния могут привести к потере зрения, если не будут своевременно диагностированы и лечены.
Как можно предотвратить глазные осложнения при СПИДе?
Предотвращение глазных осложнений включает регулярные обследования у офтальмолога, особенно для людей с низким уровнем иммунитета. Также важно контролировать вирусную нагрузку и принимать антиретровирусные препараты, чтобы поддерживать иммунную систему в стабильном состоянии.
Каковы симптомы глазных проявлений у пациентов с СПИДом?
Симптомы могут варьироваться, но часто включают размытое зрение, появление «плавающих» пятен, светобоязнь, покраснение глаз и даже внезапную потерю зрения. При появлении таких симптомов необходимо немедленно обратиться к врачу для диагностики и лечения.
Советы
СОВЕТ №1
Регулярно проходите обследования у офтальмолога, особенно если вы находитесь в группе риска по ВИЧ. Раннее выявление глазных заболеваний может предотвратить серьезные осложнения.
СОВЕТ №2
Обратите внимание на любые изменения в зрении, такие как размытость, световые вспышки или потеря зрения. Не откладывайте визит к врачу, если заметили что-то необычное.
СОВЕТ №3
Поддерживайте здоровый образ жизни, включая сбалансированное питание и физическую активность. Это поможет укрепить иммунную систему и снизить риск развития глазных заболеваний.
СОВЕТ №4
Обсуждайте с вашим врачом возможность профилактического лечения и контроля за состоянием глаз, если у вас диагностирован ВИЧ. Это может включать регулярные осмотры и специальные препараты.