
По тяжести контузионные повреждения глазного яблока занимают второе место после прободных ранений. Контузии органа зрения по своей клинической картине весьма многообразны — от незначительных кровоизлияний под конъюнктиву век до размозжения глазного яблока и окружающих его тканей. Они могут возникать в результате тупого воздействия повреждающего фактора непосредственно на глаз и его придатки (прямые контузии) либо непрямым путем (при воздействии на более или менее отдаленные части тела). Источником травмы в первом случае бывают ушибы кулаком или каким-либо предметом, падения на камни, на различные выступающие предметы, воздушная волна, струя жидкости и т. д. Непрямые контузии являются следствием ударов по голове, сдавлений тела и т. п.
Пациенты могут испытывать боль, тошноту, возможна рвота и редкий пульс. Замечают ухудшение или потерю зрения, при осмотре сразу выявляются кровоизлияния под кожу век и слизистую оболочку, паралитическое расширение зрачка, надрывы зрачкового края, отрывы радужки у ее корня,
В последние годы появился новый вид травм глаза при контузиях: разрывы глаза по насечкам на роговице. В течение многих лет проводилась операция для устранения близорукости с помощью насечек на роговой оболочке. В области насечек образовывались тонкие рубцы, что приводило к изменению кривизны роговицы. При тупой травме глаза иногда происходит разрыв роговицы по рубцам, что приводит к тяжелым последствиям — выпадению оболочек глаза и кровоизлияниям.
Постконтузионный период, как правило, осложняется иритами и иридоциклитами.
Классификация
В настоящее время в Российской Федерации нет общепринятой классификации механической травмы глаза в целом и закрытой травмы глаза в частности, что затрудняет формирование единых подходов к оказанию медицинской помощи пострадавшим с закрытой травмой глаза.
Классификация Б.Л. Поляка (1957 г.) выделяет контузию без разрыва склеры и с её разрывом.
Большое распространение получила классификация Петропавловской Г. А. (1975 г.), где контузия классифицируется по степени тяжести.
- I степень – контузии, не вызывающие снижения зрения при выздоровлении. Они характеризуются временными обратимыми изменениями (отёк и эрозии роговицы, берлиновское помутнение сетчатки, кольцо Фоссиуса, спазм аккомодации и т.д.).
- II степень – контузии, вызывающие стойкое снижение зрения (глубокие эрозии роговицы, локальные контузионные катаракты, разрывы сфинктера зрачка, ретролентальные кровоизлияния и т.д.).
- III степень – контузии, для которых характерны крайне тяжёлые изменения, влекущие за собой, с одной стороны, возможность объёмного увеличения глаза вследствие субконъюнктивального разрыва склеры, а с другой – состояние резких гидродинамических сдвигов. Здесь можно выделить три группы:
- субконъюнктивальные разрывы склеры;
- стойкая гипертензия глаза;
- стойкая глубокая гипотония.
В настоящее время в Российской Федерации широко применяется классификация контузий органа зрения (являющихся одним из вариантов ЗТГ) по степени тяжести (Волков В.В., Даниличев В.Ф., Ерюхин И.А., Шиляев В.Г., Шишкин М.М.)
|
Степень тяжести |
Клинические проявления |
Прогноз для зрения и длительность лечения |
|
Легкая |
|
Благоприятный (полное восстановление). Практически все возвращаются к труду в течение 2 недель |
|
Средняя |
Непрободные ранения глазного яблока, отёк, несквозной надрыв в поверхностных и глубоких слоях роговицы, обширная гифема, парез внутриглазных мышц, надрыв зрачкового края радужки, ограниченное берлиновское помутнение сетчатки на периферии |
Относительно благоприятный (незначительный ущерб) Большая часть пострадавших возвращается к труду. Лечение в стационаре 4-8 недель |
|
Тяжелая |
Имбибиция роговицы кровью, тотальная гифема, обширный разрыв или отрыв радужки, помутнение, подвывих или вывих хрусталика, или афакия, частичный или тотальный гемофтальм, разрыв или отслойка сосудистой оболочки или сетчатки, берлиновское помутнение в центральном отделе глазного дна |
Сомнительный (значительный ущерб) Небольшая часть пострадавших возвращается к труду. Лечение более 2 месяцев |
|
Крайне тяжелое |
Отрыв (разрыв, сдавление в костном канале) зрительного нерва. |
Неблагоприятный из-за полной и необратимой утраты зрительных функций. Стационарное лечение в течение многих месяцев. Инвалидность по зрению |
В основе международной классификации механической травмы глаза, предложенной в 1996 году Kuhn F. с соавт лежит не механизм повреждения (ранение или контузия), а патоморфологический результат — целостность фиброзной капсулы. Критерием закрытой травмы глаза является отсутствие повреждения на всю толщу фиброзной капсулы глаза.
Согласно международной классификации выделяется 4 типа ЗТГ, обозначаемые большими буквами латинского алфавита (A, B, C, D).
- При ЗТГ типа А (контузия) целостность фиброзной капсулы не нарушена, диагностируются вызванные воздействием повреждающего фактора изменения внутриглазных структур.
- При ЗТГ типа В (непрободное ранение) имеет место несквозное повреждение фиброзной капсулы без наличия в ней инородных тел. К таким травмам относятся ссадины, эрозии, царапины, ламеллярные непрободные рассечения роговицы, склеры.
- К ЗТГ типа С (непрободное ранение с поверхностными инородными телами) относятся случаи несквозного повреждения фиброзной капсулы с наличием в ней инородных тел, вызвавших это повреждение.
- К ЗТГ типа D (смешанные случаи) относятся смешанные состояния, при которых сочетаются повреждения как содержимого, так и стенки глаза (без ее перфорации).
По тяжести нарушения зрительных функций
- 1-я степень visus > 0,5
- 2-я степень visus 0,4 – 0,2
- 3-я степень visus 0,1 – 0,02
- 4- я степень visus < 0,02 – 1/¥ pr.l.certa
- 5- я степень visus Vis = 0- 1/¥ pr.l.incerta
В международной классификации важным критерием является афферентная реакция зрачка, по которой оценивают наличие или отсутствие афферентного зрачкового дефекта (АЗД). Зрачок глаза с афферентным дефицитом парадоксально расширяется при освещении, потому что расширение зрачка, вызываемое отведением света от здорового глаза, перевешивает сужение, вызываемое стимуляцией поврежденного глаза. Таким образом, может быть положительный или отрицательный АЗД. Следует отметить, что снижение остроты зрения более, чем на 50% и положительный АЗД, как правило, свидетельствует о травме глаза тяжёлой степени.
Закрытая травма глаза является серьезной медицинской проблемой, требующей внимательного подхода со стороны специалистов. Врачи подчеркивают, что такие травмы могут привести к различным осложнениям, включая повреждение роговицы, сетчатки и других структур глаза. Симптомы, такие как боль, размытость зрения и отек, могут проявляться сразу или развиваться со временем. Важно, чтобы пациенты не игнорировали эти признаки и обращались за медицинской помощью. Врачи рекомендуют проводить своевременную диагностику и лечение, чтобы минимизировать риск долгосрочных последствий. Профилактика травм, особенно в спортивной и производственной среде, также занимает важное место в рекомендациях медицинских специалистов.

Диагностика закрытой травмы глаза
Визометрия
Исследование остроты зрения является очень важным методом диагностики при закрытой травмы глаза, так как определяет такой классификационный параметр как тяжесть травмы.
- Острота зрения проверяется с помощью проектора оптотипов, табличным методом с использованием таблиц Головина-Сивцева и аналогов или таблиц ETDRS.
- При остроте зрения менее 0,1 показано исследование энтоптического феномена аутоофтальмоскопии (АОС), который легко проводится транспальпебрально с использованием портативного фонарика. Положительный феномен АОС свидетельствует о ретинальной остроте зрения не менее 0,1.
- При остроте зрения менее 0,01 необходимо проверить следующие уровни зрительных функций:
- Счет пальцев у лица,
- Движение руки у лица,
- Проба Прим-Розе (определения направления красной полоски при освещении глаза с использованием стекла Меддокса); положительная проба говорит о функциональной сохранности макулярной области,
- Светопроекция,
- Светоощущение. Для максимальной информативности определение светоощущения целесообразно проводить в темном помещении с использованием максимально ярких источников света (например, налобный офтальмоскоп).
Периметрия
- Для исследования поля зрения могут быть использованы любые доступные аппаратные методы: статическая, кинетическая, пороговая периметрия, кампиметрия, микропериметрия и т.п.
- Если пациент из-за низкого зрения не видит точку фиксации, то возможна фиксация взора на собственный палец, устанавливаемый на точку фиксации,
- Если пациент из-за низкого зрения не видит периметрический тест-объект, то поле зрения исследуется контрольным методом, когда пострадавший смотрит на лицо сидящего напротив врача и определяет боковым зрением шевеление пальцев отводимой по четырем основным меридианам руки врача. Врач при этом сравнивает поле зрения пациента со своим,
- Во всех случаях отсутствия поля зрения показано исследование энтоптического феномена механофосфена (МФ). Врач надавливает стеклянной палочкой через сомкнутые веки на глаз пациента в четырех косых меридианах при максимальном отведении пациентом глаза в контрлательном направлении. Пациент при этом определяет в направлении взора световые круги. Положительный симптом МФ свидетельствует о функциональной сохранности сетчатки в данном квадранте и о ее нормальном анатомическом положении.
Тонометрия
Для определения ВГД при закрытой травме глаза возможно использование бесконтактных методов тонометрии. Тонометрия по Маклакову позволяет более точно определить уровень ВГД, но является контактным методом. При подозрении на развитие вторичной глаукомы целесообразно проведение электронной тонографии.
Исследование на щелевой лампе
- Осмотр глазного яблока в боковом освещении. Этим методом могут быть выявлены такие симптомы ЗТГ как инъекция глазного яблока, гипосфагма, несквозная рана склеры, инородное тело склеры.
- Биомикроскопия. Этим методом могут быть выявлены такие симптомы непосредственно ЗТГ как несквозная или скальпированная рана роговицы, эрозия роговицы, инородное тело роговицы, гифема, иридодиализ, надрыв зрачкового края радужки, иридофакодонез, грыжа стекловидного тела, подвывих хрусталика (или ИОЛ), вывих хрусталика (или ИОЛ) в переднюю камеру, афакия, травматическая катаракта; симптомы осложнений ЗТГ – рубец, отек, помутнение, неоваскуляризация и бельмо роговицы, гематокорнеа, рубеоз.
- Исследование в проходящем свете. По состоянию рефлекса с глазного дна оценивается прозрачность преломляющих сред, в основном стекловидного тела (так как изменения роговицы, передней камеры и хрусталика легко диагностируются с помощью биомикроскопии). Ослабленный или отсутствующий розовый рефлекс, а также изменение его цвета свидетельствуют о наличии помутнений в преломляющих средах глаза.
- Биомикроофтальмоскопия с использованием асферических линз 60 и 90 диоптрий. На сегодняшний день это приоритетный метод диагностики изменений в стекловидной камере и сетчатке. С его помощью диагностируются такие симптомы непосредственно ЗТГ как гемофтальм, отслойка сетчатки, отслойка сосудистой оболочки, вывих хрусталика (или ИОЛ) в стекловидное тело, субретинальное и интраретинальное кровоизлияние, отек сетчатки, разрыв сетчатки (в том числе макулярный), субретинальный разрыв сосудистой оболочки; симптомы осложнений ЗГТ – фиброз стекловидного тела, пролиферативная витреоретинопатия, хориоидальная неоваскуляризация, субретинальный и эпиретинальный фиброз.
- Исследование с помощью трех/четырех-зеркальной линзы Гольдмана. Этот метод позволяет визуализировать недоступные для осмотра другими методами отделы роговично-радужного угла (РРУ) и ретролентальных периферических отделов стекловидной камеры. С его помощью могут быть диагностированы такие симптомы закрытой травмы глаза и ее осложнений как циклодиализ, неоваскуляризация РРУ.
Симптом Ф.В. Припечек. Это простой симптом очень важен в первичной диагностике травмированного глаза. При наличии сливной гипосфагмы, не позволяющей визуально оценить целостность подлежащей склеры стеклянной палочкой после эпибульбарной анестезии проводится надавливание на склеру в проекции гипосфагмы. Резкий болевой синдром свидетельствует в пользу скрытого разрыва склеры и диагноза открытой травмы глаза.
Диафаноскопия — Проводится с помощью диафаноскопа в варианте транссклеральной или транспупиллярной диафаноскопии и позволяет выявить субконъюнктивальный разрыв склеры как симптом открытой травмы глаза, а также такой симптом как циклодиализ.
Ультразвуковые методы диагностики.
- Двумерное B-сканирование более информативно при ЗТГ, чем одномерное А-сканирование. Основным показанием к его применению является нарушение прозрачности оптических сред, исключающее использование оптических методов визуализации внутриглазных структур. Ультразвуковое сканирование позволяет определить состояние внутриглазных сред и оболочек: степень гемофтальма, наличие и протяженность отслойки сетчатки и хороидеи, определить положение хрусталика (или ИОЛ).
- Ультразвуковая биомикроскопия (УЗБМ) позволяет исследовать образования переднего отрезка глаза и иридоцилиарной зоны при непрозрачных оптических средах и низком глазном давлении.
- Ультразвуковое доплеровское картирование глаза позволяет установить степень нарушения кровообращения в сосудах глаза.
Оптическая когерентная томография (ОКТ) переднего и заднего сегментов глаза.
ОКТ позволяет выявить прижизненные изменения роговицы, структур передней камеры и сетчатки на тканевом уровне, и объективизировать многие субклинические симптомы, а также провести морфометрию выявленных изменений. К томографическим симптомам непосредственно ЗТГ относятся субретинальные кровоизлияния, отек сетчатки, макулярный разрыв сетчатки, субретинальный разрыв сосудистой; с симптомами осложнений ЗТГ – витреомакулярные тракции, хориоидальная неоваскуляризация.
Рентгенография проводится для исключения повреждения стенок орбиты. При подозрении на повреждение зрительного нерва прибегают к проведению рентгенографии по методике Резе, для выявления патологии канала зрительного нерва.
Более широкие возможности визуализации образований орбиты предоставляет компьютерная томография, позволяющая с пошаговой точностью исследовать стенки орбиты и ее содержимое при тяжелой травме органа зрения и средней трети лица, что является определяющим в диагностике и восстановительном лечении орбитальной патологии.
Электрофизиологические методы исследования (ЭФИ)
- Электроретинография (ЭРГ) позволяет объективно оценить функциональное состояние различных структур сетчатки:
- Максимальная (общая) ЭРГ – наружные (I и II нейроны) отделы всей площади сетчатки; метод высокоинформативен при любых нарушениях прозрачности преломляющих сред.
- Ритмическая ЭРГ 30 Гц — I и II нейроны колбочковой системы сетчатки, опосредованная оценка функций центральных ее отделов; метод высокоинформативен при любых нарушениях прозрачности преломляющих сред.
- Зрительные вызванные потенциалы (ЗВП) коры головного мозга позволяют объективно оценить функциональное состояние проводящих путей. При ЗТГ в большей степени применимы ЗВП на вспышку, информативность которых не снижается (в отличие от паттерн- и мультифокальных ЗВП) при нарушении прозрачности преломляющих сред. ЗВП на вспышку характеризуют функциональное состояние проводящих путей макулярной ориентации.
- Электрическая чувствительность (ЭЧ) сетчатки относится к субъективным методам ЭФИ и определяется пороговой величиной силы тока при воздействии его на исследуемый глаз, вызывающей у пациента ощущение света (электрофосфен). ЭЧ первично возникает в ганглиозных клетках и характеризует функциональную сохранность проводящих путей в целом. Важным достоинством метода ЭЧ является его высокая информативность вне зависимости от состояния прозрачности преломляющих сред и от состояния I и II нейронов сетчатки.
- Лабильность (или критическая частота исчезновения фосфена (КЧИФ)) зрительного нерва относится к субъективным методам ЭФИ и определяется предельной (критической) частотой мелькающего надпорогового электрофосфена, при котором пациент еще различает мелькающий свет в исследуемом глазу. КЧИФ также как и ЭЧ первично возникает в ганглиозных клетках и характеризует функциональную сохранность проводящих путей макулярной ориентации, т.е. аксиального пучка. В норме КЧИФ должна быть более 35 Гц.
Клинические проявления
Клинический симптомокомплекс закрытой травмы глаза весьма многообразен и включает в себя не только повреждения глазного яблока и его вспомогательных органов, но и изменения общего характера.
Для всех типов ЗТГ характерны общие патогенетические процессы по типу нейроциркуляторных расстройств в виде спазма сосудов, вазодилятации, увеличения проницаемости сосудистой стенки, отёка тканей, ишемии; неустойчивость офтальмотонуса от реактивной гипертензии до выраженной гипотонии. Многоуровневость поражения также вызывает биохимические сдвиги и изменения локального иммунного статуса.
Сотрясение чаще всего является опосредованным гидродинамическим ударом по внутренней оболочке глазного яблока – сетчатке. Возникает повышение проницаемости сосудистой стенки и, следовательно, отек часто не только в больном глазу, но и в здоровом. Спазм сосудов, наступающий сразу за травмой, сменяется их расширением, обусловливающим реактивную гиперемию переднего отдела сосудистого тракта.

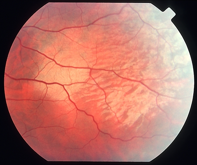
По интенсивности помутнения сетчатки (от бледно-серого до молочно-белого) можно судить о тяжести травматического повреждения: чем интенсивнее белый цвет сетчатки, тем медленнее исчезают помутнения. Причина появления помутнений – отек межуточного вещества сетчатки. Часто берлиновские помутнения не вызывают резкого снижения остроты зрения, но всегда наблюдается концентрическое сужение поля зрения. Помутнения исчезают, как правило в течение 7-10 дней.
Смена сред и оболочек различной плотности, сокращение цилиарной мышцы в ответ на удар, более плотное прикрепление стекловидного тела у диска зрительного нерва и у основания стекловидного тела обусловливает расположение разрывов и отрывов глазного яблока. Более эластичные оболочки, например сетчатка, растягиваются, а менее растяжимые – сосудистая, десцеметова оболочка – рвутся. При умеренном травмирующем воздействии разрывы на глазном дне располагаются концентрично диску зрительного нерва, при огнестрельных контузиях имеют полигональное расположение.
Многообразие постконтузионных состояний глаза обусловлено лабильностью нервно-рефлекторной системы глаза; изменениями офтальмотонуса и обратным развитием повреждений при контузии на фоне вторичных реактивных воспалительных и дегенеративных процессов.
Все контузионные поражения сопровождаются кровоизлияниями. Это ретробульбарные гематомы, гематомы век, субконъюнктивальные кровоизлияния, гифемы, кровоизлияния в радужку, гемофтальм, преретинальные, ретинальные, субретинальные и субхориоидальные кровоизлияния.
Гипосфагма — кровоизлияние под конъюнктиву легко диагностируется в виде различной площади субконъюнктивального очага красного цвета. Обширные гипосфагмы могут занимать большие площади вплоть до всей поверхности глазного яблока и проминировать над ней. Сама по себе гипосфагма не является опасной, так как не вызывает снижения зрения и со временем рассасывается без следа. Однако крайне важно помнить, что обширная гипосфагма может экранировать субконъюнктивальный разрыв склеры (что переводит травму в категорию открытой травмы глаза). Исключение сквозного разрыва склеры при обширной гипосфагме является приоритетной задачей диагностики, включающей определение симптома Припечек, диафаноскопию, ревизию склеры

Гифемы делятся на первичные и вторичные, каждая из которых может быть частичной, субтотальной и тотальной.
На роговице возникают эрозии с частичным или тотальным отсутствием эпителия.
При контузионном повреждении радужки возможно развитие травматического мидриаза вследствие пареза сфинктера, который возникает практически сразу после травмирующего воздействия. Реакция зрачка на свет утрачивается, его размер увеличивается до 7-10 мм. В этом случае больные предъявляют жалобы на светобоязнь и снижение остроты зрения. Парез цилиарной мышцы при контузии приводит к расстройству аккомодации. При сильных ударах возможен частичный или полный отрыв радужки от корня (иридодиализ), следствием чего становится аниридия. Кроме того, возможны радиальные разрывы радужки и отрыв ее части с образованием секторальных дефектов. При повреждении сосудов радужки возникает гифема, которая может быть частичной и полной.
В ряде случаев наблюдаются повреждение передней стенки ресничного тела и расщепление цилиарной мышцы. Вместе с радужкой и хрусталиком продольные волокна цилиарной мышцы отходят назад, радужно-роговичный угол углубляется. Это называют рецессией угла передней камеры, которая является причиной развития вторичной глаукомы.
При контузии вследствие кратковременного контакта радужки с передней капсулой хрусталика возможно образование на ней отпечатка пигментного листка радужки – кольца Фоссиуса.
Любое травмирующее воздействие на хрусталик даже без нарушения целостности капсулы может приводить к возникновению помутнений различной выраженности. При сохранении капсульного мешка чаще развивается субкапсулярная катаракта с локализацией помутнений в проекции приложения травмирующей силы в виде морозного рисунка на стекле.

Более тяжелым состоянием является вывих (люксация) хрусталика в переднюю камеру или в стекловидное тело. Люксация в переднюю камеру ведет к развитию вторичной факоморфической глаукомы с очень высокими значениями офтальмотонуса вследствие полной блокады оттока жидкости из глаза. Хрусталик может вывихнуться и под конъюнктиву при разрыве склеры в области лимба.
Во всех случаях вывиха хрусталика отмечается глубокая передняя камера, возможно дрожание радужки – иридодонез.
Тяжелое проявление контузии глазного яблока, кровоизлияние в стекловидное тело. Гемофтальм может быть частичным или полным. Гемофтальм диагностируют при осмотре в проходящем свете. В этом случае рефлекс с глазного дна ослаблен или отсутствует. Плохо рассасывающийся гемофтальм может приводить к образованию спаек (шварт) с сетчаткой и в дальнейшем к тракционным отслойкам сетчатки.

Макулярный разрыв офтальмоскопически определяется как округлой формы более ярко-красный, чем окружающая сетчатка, очаг в проекции макулы. При прозрачных преломляющих средах наибольшую диагностическую информацию предоставляет оптическая когерентная томография. При нарушении прозрачности преломляющих сред ранняя диагностика травматического макулярного разрыва затруднена.
Отслойка сосудистой оболочки (ОСО) — травматическая ОСО является геморрагической и возникает вследствие разрыва в момент травмы хориоидальных сосудов. Клинически она проявляется различной величины округлыми куполами, проминирующими в стекловидную камеру. Дифференциально-диагностическими отличиями от отслойки сетчатки являются цвет куполов (темно-розовый или темно красный, а не матовый) и неподвижность при движении глазным яблоком. При сопутствующем гемофтальме, когда офтальмоскопия неинформативна, используется В-сканирование, на котором определяется неподвижная эхопозитивная округлая тень в заднем полюсе глазного яблока.
Субретинальный разрыв сосудистой оболочки является результатом компрессионной деформации глазного яблока в сагиттальной плоскости в момент травмы. Если при этом происходит разрыв сосудистой оболочки, то в силу естественной упругости хориоидеи и обратного продольного растяжения глазного яблока края разрыва расходятся. Вследствие диастаза краев разрыва возникает ахориоидальная зона, где отсутствует перфузия сетчатки и возникает локальная ретинальная ишемия. Офтальмоскопически определяются серповидной формы белого цвета с четкими контурами очаги, располагающиеся как правило концентрично ДЗН. Частая локализация разрывов в макулярной области обусловлена наименьшей толщиной сосудистой в этой зоне. При ЗТГ нередко выявляется два и более разрывов, располагающихся параллельно друг другу. Частым осложнением субретинального разрыва сосудистой является локальное субретинальное кровоизлияние. При макулярной локализации эта патология приводит к выраженному резкому снижению зрения.
Одним из наиболее тяжелых осложнений ЗТГ является травматическая нейрооптикопатия, когда вследствие контузии зрительного нерва зрение снижается вплоть до слепоты при сохранности глазного яблока.Клиническая картина крайне скудная, так как изменений со стороны глазного яблока порой нет вообще. Может наблюдаться относительное сужение артерий. При наличии других вышеописанных проявлений ЗТГ настораживающим симптомом является несоответствие внутриглазных изменений значительной степени утраты зрения. В случаях выраженных интраокулярных проявлений ЗТГ (значительный гемофтальм, травматическая катаракта, тотальная гифема и т.п.) очень важно не пропустить сопутствующую травматическую нейрооптикопатию. Обязательными элементами диагностики должны быть энтоптические феномены (АОС, механофосфены), отсутствие которых указывает на патологию зрительно-нервного пути, а также исследование электрофосфенов. Повышение порогов ЭЧ и снижение КЧИФ напрямую указываю в этих случаях на контузионную нейрооптикопатию.
Закрытая травма глаза вызывает множество обсуждений среди людей, столкнувшихся с этой проблемой. Многие отмечают, что такие травмы могут быть крайне болезненными и требуют немедленного медицинского вмешательства. Важно понимать, что даже если внешних повреждений не видно, внутренние структуры глаза могут быть серьезно повреждены. Люди делятся своими историями о том, как они не сразу осознали степень травмы, что привело к осложнениям. Некоторые подчеркивают важность своевременной диагностики и лечения, так как это может предотвратить потерю зрения. Также обсуждается необходимость соблюдения мер предосторожности в повседневной жизни, особенно при занятиях спортом или работе с опасными предметами. В целом, опыт людей показывает, что закрытая травма глаза — это не только физическая, но и эмоциональная нагрузка, требующая внимательного подхода к восстановлению.

Лечение
В зависимости от совокупности патологических изменений в каждом конкретном клиническом случае, лечение закрытой травмы может быть только консервативным или сочетать хирургический и консервативный компонент; может быть местным или сочетать системную и местную терапию.
Экстренное хирургическое вмешательство проводится при
- Субконъюнктивальных разрывах склеры и роговицы
- Ревизии склеры при подозрении на субконъюнктивальный разрыв
- Вывихе хрусталика в переднюю камеру
- Тотальной гифеме и гипертензии
Общие принципы терапии контузии легкой степени
- амбулаторный режим
- антибактериальные препараты
- противовоспалительные препараты (инстилляции дексаметазона, наклофа)
- дегидратационная терапия (диакарб)
- ангиопротекторы (дицинон, аскорутин)
- симптоматическая терапия при эрозиях: антибиотики в инстилляциях, средства ускоряющие эпителизацию (баларпан, витасик, актовегин)
Общие принципы терапии контузии средней и тяжелой степени
- стационарный режим
- седативные препараты (реланиум, феназепам)
- антибактериальные препараты
- противовоспалительная терапия (кортикостероиды — дексаметазон, НПВС — индометацин, ибупрофен)
- дегидратационная терапия (диакарб, лазикс, 40 % р-р глюкозы)
- ферментотерапия (фибринолизин, лидаза, гемаза)
- иммунокоррегирующая терапия (имунофан)
- ангиопротекторы (дицинон, стугерон)
- антиоксиданты (токоферол, эмоксипин)
- детоксикационная терапия (реополиглюкин, гемодез, уротропин)
- средства, улучшающие микроциркуляцию (трентал, никотиновая кислота)
- симптоматическая терапия (гипотензивные средства, анальгетики)
При травматических повреждений сетчатки и зрительного нерва проводят в стационаре с применением разнообразных медикаментозных средств, лазеров, операций при отслойке сетчатки.
При повышении внутриглазного давления применяют различные препараты, снижающие его (капли). Если капли недостаточно эффективны, используют лазерные или микрохирургические операции. Больные с повышенным внутриглазным давлением должны находиться на диспансерном наблюдении и систематически получать различные курсы лечения. При несвоевременном выявлении повышенного давления поражается зрительный нерв, развивается его атрофия, приводящая к сужению поля зрения и слепоте. Следует помнить, что потерянное зрение при вторичной глаукоме не восстанавливается, поэтому необходимо следить за травмированным глазом, периодически обследоваться у окулиста.
Длительно существующее низкое внутриглазное давление также опасно для глаза и может привести к слепоте у 4 % больных. Существуют комплексные методы лечения такой гипотонии — медикаментозные и хирургические, позволяющие нормализовать внутриглазное давление.
Вопрос-ответ

Что такое закрытая травма глаза?
Закрытая травма глаза – это состояние, при котором повреждаются ткани внутри глаза. Стенка глаза твердая. Оно может развиться в результате сильного удара, например, попадания в глаз твердого предмета.
Каковы клинические проявления закрытой травмы глаза типа В?
Клинические проявления ЗТГ типа В. К ЗТГ типа В относятся ссадины, эрозии, царапины, ламеллярные непрободные рассечения роговицы, склеры. Поверхностные повреждения роговицы (травматические эрозии) сопровождаются выраженным чувством инородного тела, а нередко и сильными болями.
В чем разница между открытой и закрытой травмой глаза?
Травма глаза может быть закрытой или открытой. Закрытая травма глазного яблока не затрагивает стенку глаза (роговицу, лимб и склеру) полностью, тогда как открытая травма глаза затрагивает всю толщину стенки глаза.
Что характерно для закрытой травмы 1 степени?
I степень – контузии, не вызывающие снижения зрения при выздоровлении. Они характеризуются временными обратимыми изменениями (отёк и эрозии роговицы, берлиновское помутнение сетчатки, кольцо Фоссиуса, спазм аккомодации и т. д.).
Советы
СОВЕТ №1
Обратитесь к врачу сразу после получения травмы. Даже если вы не чувствуете сильной боли или не видите явных повреждений, важно получить профессиональную оценку состояния вашего глаза, чтобы избежать возможных осложнений.
СОВЕТ №2
Не пытайтесь самостоятельно лечить травму. Использование домашних средств или медикаментов без консультации с врачом может усугубить ситуацию. Следуйте рекомендациям специалиста и не игнорируйте назначенные процедуры.
СОВЕТ №3
Избегайте трения или давления на травмированный глаз. Это может привести к дополнительным повреждениям и ухудшению состояния. Постарайтесь не закрывать глаз слишком сильно, чтобы не вызвать спазмы мышц.
СОВЕТ №4
Следите за симптомами. Если вы заметили ухудшение зрения, появление боли, покраснение или выделения из глаза, немедленно обратитесь к врачу. Эти симптомы могут указывать на серьезные проблемы, требующие немедленного вмешательства.