Первичные опухоли зрительного нерва, несмотря на их доброкачественность, неизбежно прорастают в полость черепа и являются причиной не только слепоты, но и гибели больного.
Нейрогенные опухоли являются производными единого зародышевого пласта нейрозктодермы и по сводным статистическим данным составляют 20-30% новообразований орбиты.
- Опухоли зрительного нерва представлены двумя группами: менингиомами и глиомами.
- Опухоли периферических нервов в зависимости от источника развития подразделяются на невриномы (шванномы) и нейрофибромы (плексиформную, диффузную и локализованную).
Первичные опухоли зрительного нерва как правило, наблюдаются у больных детского и юношеского возраста и встречаются редко. Среди первичных опухолей зрительного нерва по частоте глиомы занимают первое место и составляют 80%, менингиомы 17% и нейрофибромы 3 %.
Менингиома

Среди всех менингиом ЦНС менингиома зрительного нерва составляет 1-2 %. Опухоль развивается в возрасте 20-60 лет, чаще у женщин; описаны менингиомы у детей, которые протекают с более агрессивным ростом. Быстрый рост опухоли наблюдается и во время беременности. Как правило, опухоль односторонняя, однако описаны случаи билатерального развития менингиомы зрительного нерва.
Клиника. Менингиома может расти вдоль ствола зрительного нерва на всем его протяжении или иметь эксцентричный рост с прорастанием оболочек нерва. Направление роста менингиомы в орбите определяет клинические симптомы и последовательность их развития.
У подавляющего числа больных при менингиоме, имеющей инфильтративный характер роста, в ранней стадии наиболее типичны боли в пораженной орбите и одноименной половине головы. Опухоль прорастает твердую оболочку головного мозга и инфильтрирует окружающие ткани, что сопровождается ограничением функций экстраокулярных мышц. Когда опухоль достигает значительных размеров, появляется отек век, экзофтальм сочетается с красным хемозом бульбарной конъюнктивы. Он может быть осевым или со смещением, величина его колеблется от 6 до 14 мм. На глазном дне — резко выраженный застойный диск зрительного нерва.
При особенно быстром увеличении опухоли на диске и вокруг него могут быть кровоизлияния в виде мазков в 1/3 случаев у таких больных формируются оптикоцилиарные шунты, которые представляют собой ретинохориоидальные коллатерали на диске зрительного нерва, длительно находящемся в состоянии застоя. Появление резко расширенных, синюшного цвета вен на застойном диске указывает на распространение опухоли непосредственно до заднего полюса глаза. Ухудшение зрения вначале может быть интермитгирующим, а затем оно прогрессивно снижается. Однако на протяжении некоторого времени острота зрения может сохраняться на достаточно высоком уровне. Наблюдения за больными с подобным характером роста опухоли показали, что хотя острота зрения у них и сохранена, надежды на локальное удаление опухоли нет, так как, прорастая оболочки нерва, менингиома формирует опухолевые узлы в экстраокулярных мышцах, орбитальной клетчатке.
При эксцентричном росте опухоли вначале поле зрения остается интактным или наблюдаются асимметричные участки выпадения соответственно зоне опухолевого узла. При менингиоме, растущей концентрично стволу зрительного нерва и внедряющейся в его ткань, развивается равномерное сужение поле зрения, рано ухудшается центральное зрение (за 2-4 года до возникновения экзофтальма). Экзофтальм появляется через несколько месяцев и даже через 2-3 года, он всегда осевой, величина его не превышает 6-7 мм. Функции экстраокулярных мышц сохранены в полном объеме. На глазном дне, как правило, развивается первичная атрофия зрительного нерва. Увеличение диаметра зрительного нерва сопровождается увеличением размеров костного канала его.
Диагностировать менингиому у таких больных трудно, так как даже на компьютерных томограммах зрительный нерв не всегда настолько увеличен, чтобы предположить его опухолевое поражение. Особенно трудна для диагностики менингиома зрительного канала, растущая в орбиту, встречающаяся у 5 % больных с менингиомой зрительного нерва.
Морфогенез. Опухоль развивается из арахноидальных ворсинок, расположенных между твердой и паутинной оболочками. Зрительный нерв, пораженный опухолью, увеличивается в диаметре в 4-6 раз, может достигать в поперечнике до 50 мм. Макроскопически опухоль имеет серовато-розовый цвет, ствол зрительного нерва обычно хорошо дифференцируется. При прорастании опухоли из межвлагалищного пространства через твердую оболочку появляется последовательная инфильтрация орбитальных тканей и дифференцировать зрительный нерв на всем протяжении в подобных случаях не представляется возможным.
Дифференциальный диагноз. Менингиому зрительного нерва необходимо дифференцировать от любой другой периневрально расположенной опухоли при ее эксцентричном росте. При значительной инфильтрации ретробульбарных тканей — от любого патологического процесса, имеющего диффузный характер распространения, и в первую очередь от злокачественной опухоли; при осевом распространении — от глиом зрительного нерва.
Врачи отмечают, что опухоли зрительного нерва, хотя и являются редким явлением, требуют внимательного подхода к диагностике и лечению. Специалисты подчеркивают важность раннего выявления, так как это значительно увеличивает шансы на успешное лечение и сохранение зрения. Наиболее распространенными типами опухолей являются глиомы и менингиомы, которые могут вызывать различные симптомы, включая ухудшение зрения, головные боли и изменения в восприятии цвета. Врачи рекомендуют проводить регулярные обследования, особенно для пациентов с предрасположенностью к опухолям. Современные методы визуализации, такие как МРТ, играют ключевую роль в диагностике. Лечение может включать хирургическое вмешательство, радиотерапию и химиотерапию, в зависимости от типа и стадии опухоли. Важно, чтобы пациенты получали комплексный подход, включающий консультации различных специалистов, что способствует более эффективному управлению заболеванием.

Глиома
Глиома представляет собой интрадуральное образование, опухоль представлена тремя типами клеток: астроцитами, олигодендроцитами и макроглией, по клеточной структуре глиомы подразделяются на астроцитому, которую называют ювенильной, так как она развивается у детей, и олигодендроглиому, чаще поражающую взрослых. Первая составляет 2/3 всех глиом орбитального отрезка зрительного нерва.
Davis выделяет 5 стадий роста глиомы
- Генерализованная гиперплазия астроцитов и олигодендроцитов в стволе ЗН без нарушения его общей структуры, оболочки целостны.
- Нарастание пролиферации глии, в процесс вовлекаются оболочки, но целостность их не нарушена, гиперплазия клеток паутинной оболочки.
- Проникновение опухолевых клеток в межвлагалищное пространство ЗН с образованием в нём массы глиальных и арахноидальных клеток.
- Разрушение отдельных участков оболочек ЗН из-за замещения опухолевой тканью.
- Структура нерва полностью утрачена, перегородки, оболочки и волокна нерва полностью разрушены.
А.Ф. Бровкина считает, что в отличии от менингиомы глиома никогда не прорастает твердую мозговую оболочку, однако по стволу ЗН она может распространяться в полость черепа, достигая хиазмы.
Глиома характеризуется образованием в орбите узла опухоли различной формы: округлой, веретенообразной, грушевидной, колбасовидной, с выраженным эксцентричным ростом по отношению к продольной оси нерва, может быть в виде «бус» или «песочных часов». Размеры опухоли в орбите различны — от 1,5 на 2 см до 4,5 на 5 см. Узел опухоли покрыт толстой гладкой капсулой, имеет белесоватую или багрово-синюшную окраску. Опухоль при пальпации плотная, иногда с частичным кистозным перерождением.
Глиома иногда оставляет участок макроскопически нормального нерва у глазного яблока — «шейку», чаще опухоль широким основанием, равным 2-4 диаметрам зрительного нерва, подходит вплотную к заднему полюсу глазного яблока.
Гистологическое исследование удаленных опухолей показывает, что они различны по характеру роста в отношении к зрительному нерву и его оболочкам, чаще отмечается интраневральный характер роста, реже — экстраинтраневральный.
- При интраневральном характере роста нерв диффузно инфильтрирован опухолевыми клетками, оболочки оттеснены к периферии, опухоль не прорастает в твердую оболочку «опухоль в капсуле». Мягкие оболочки разрыхлены за счет разрастания соединительной ткани, проращены опухолевыми клетками. Зрительные функции сохраняются долгое время, так как не все зрительные волокна поражаются, часть их оттесняется к периферии опухолевыми клетками и продолжает функционировать.
- При экстраинтраневральном характере роста опухоль состоит как бы из двух частей — экстраневральная часть опухоли расположена между мягкой и твердой оболочками и спаяна с ними, в интраневральной части опухоли: зрительные волокна замещены опухолевой тканью. Давление экстраневральной части опухоли приводит к более быстрой гибели волокон. зрительные функции снижаются быстро, развивается восходящая и нисходящая атрофия ЗН.
Клиническая картина глиомы ЗН зависит от преимущественной локализации опухоли, что чаще совпадает с исходным ростом ее. Выделяют две клинические группы — глиомы ЗН с внутричерепным распространением и глиомы хиазмы. Первичная локализация опухоли в орбитальной части ЗН самая частая. Первым клиническим признаком опухоли является быстрое снижение зрения почти до слепоты, у маленьких детей присоединяется косоглазие, может быть нистагм.
Экзофтальм появляется позднее, он может быть осевым и со смещением глазного яблока. Обычно глазное яблоко выпячивается вперед и подвижность глаза не страдает, в дальнейшем, по мере роста опухоли, возникает смещение глаза в сторону и ограничение его подвижности. Нарушение подвижности глазного яблока вызвано воздействием опухоли на глазодвигательные мышцы (давление, растяжение). Чем ближе к вершине орбиты расположена опухоль, тем раньше и в большей степени нарушена подвижность глазного яблока. Репозиция глазного яблока затруднена, при большой степени экзофтальма удается пальпировать опухоль за глазом.
Могут отмечаться офтальмологические признаки затруднения венозного оттока из орбиты — отек век, расширение и инъекция эписклеральных сосудов, понижение прозрачности гайморовой пазухи и решетчатой кости. При больших размерах опухоли от давления ее на чувствительные окончания тройничного нерва в орбите и цилиарные нервы могут возникать резкие боли в глазном яблоке, снижение чувствительности роговицы, трофические изменения в ней. При сдавлении глазного яблока опухолью в переднее-заднем направлении развивается гиперметропическая рефракция. Описаны случаи повышения ВГД.
Изменения на глазном дне не представляют ничего характерного, они зависят от размеров, расположения, давности существования опухоли. На глазном дне одинаково часто определяется как застойный диск, так и атрофия ЗН. Вначале обычно превалируют явления застоя, затем постепенно развивается его атрофия.
При застое в диске ЗН появляется извитость ретинальных сосудов, в результате недостаточности кровообращения развиваются оптико-цилиарные шунты. При росте опухоли у глазного яблока особенно выражен отек ДЗН, вены расширены, извиты, кровоизлияния у диска за счет развивающийся непроходимости центральной вены сетчатки. Патогномоничным признаком глиомы ЗН считается расширение кольца его костного канала, однако отсутствие его расширения не является признаком ограничения опухоли орбитальной порцией ЗН. Широкое кольцо может быть обусловлено и механическим давлением большой опухоли, достигающей вершины орбиты.
Распознать прорастание глиомы в диск ЗН трудно, т.к. наиболее часто на стороне опухоли развивается застойный диск ЗН. О. Н.Соколова считает, что распространение опухоли на диск проявляется неравномерностью выстояния диска на различных участках его. Офтальмоскопическими симптомами распространения опухоли на диск ЗН являются – задержка сокращения застойного диска ЗН, появление свежих кровоизлияний на диске и периферии сетчатки, по мере уменьшения отека диска на нем становятся видны белесоватые ,плотные проминирующие массы и новообразованные сосуды.
Признаками внутричерепного распространения глиом ЗН являются – расширение канала ЗН, офтальмологические нарушения со стороны другого глаза, свидетельсвующие о поражении хиазмы и противоположного ЗН, а также появление неврологических симптомов. Однако выявление этих симптомов указывает на большое распространение опухоли, начальные стадии внутричерепного распространения опухоли протекают бессимптомно.
Методы диагностики
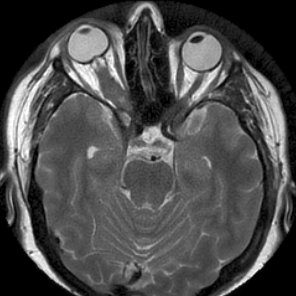
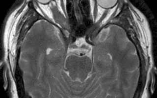
Диагноз менингиомы устанавливают на основании анализа последовательности появления клинических симптомов, данных ультразвукового сканирования, позволяющего определить увеличенный зрительный канал. Наиболее информативна КТ, при которой всегда четко дифференцируется увеличенный орбитальный отрезок зрительного нерва, хорошо видна граница его распространения. Более сложна томографическая картина при инфильтративном характере роста, особенно с асимметричным положением узла опухоли. В подобных случаях возможен ошибочный диагноз периневральной опухоли. Необходимо подчеркнуть, что КТ при опухолях зрительного нерва имеет весомые преимущества перед МРТ. В особо затруднительных случаях помощь в установлении диагноза оказывает ТИАБ.
Патогномоничным признаком глиомы зрительного нерва долгие годы считали расширение кольца его костного канала, выявляемого при рентгенологическом исследовании. КТ позволяет не только визуально наблюдать веретенообразно или цилиндрически увеличенный зрительный нерв в орбите, но и судить о его распространении по зрительному каналу в полость черепа. Ультразвуковое сканирование недостаточно информативно, так как представляет изображение только проксимальной и средней трети зрительного нерва. МРТ более информативно при интракраниальном распространении опухоли.
Стандартный список исследований, для точной постановки диагноза
- Визометрия,
- Периметрия
- Офтальмоскопия глазного дна
- Ультразвуковое исследование орбиты
- Рентгенография орбиты и головного мозга с прицелом на зрительные каналы по Rese
- МРТ головного мозга и орбиты
- КТ головного мозга и орбиты
- Тонкоигольная аспирационная биопсия, под контролем компъютерной томографии
- Контрастирование вен глазного яблока
- Пневмоцистернография хиазмальных цистерн основания мозга
- Исследование опухоли во время хирургического вмешательства
- Морфологическое исследование
Опухоли зрительного нерва вызывают множество обсуждений среди пациентов и врачей. Многие люди отмечают, что симптомы, такие как ухудшение зрения, двоение в глазах или потеря периферического зрения, могут быть тревожными и вызывать страх. Некоторые пациенты делятся своими историями о том, как они долго не могли понять, что происходит, и только после обращения к специалисту получили диагноз. Важно отметить, что ранняя диагностика играет ключевую роль в успешном лечении. Люди также обсуждают различные методы лечения, включая хирургическое вмешательство, радиотерапию и медикаментозную терапию. Опыт других пациентов может быть полезен, так как они делятся своими переживаниями и советами по преодолению трудностей, связанных с заболеванием. Поддержка близких и участие в группах по интересам помогают многим справляться с эмоциональными нагрузками, связанными с диагнозом.

Лечение
Лечение менингиом хирургическое в пределах здоровых тканей эффективно в случаях ограничения опухоли оболочками зрительного нерва, когда на компьютерных томограммах видны участки непораженного зрительного нерва в дистальном отделе.
С конца 80-х годов XX в. используют лучевую терапию на область пораженной орбиты с суммарной дозой не менее 50 Гр. Замедляется прогрессирование процесса, острота зрения на протяжении 5-6 лет остается неизменной.
Прогноз для зрения неблагоприятный. При росте опухоли вдоль ствола зрительного нерва имеется угроза распространения ее в полость черепа и поражения зрительного перекреста. Прогноз для жизни благоприятный при ограничении опухоли полостью орбиты.
С учетом крайне медленного роста глиомы зрительного нерва выбор метода лечения должен быть строго индивидуальным. При сохранении зрения и возможности наблюдения за больным альтернативой длительного наблюдения может быть лучевая терапия, после проведения которой отмечается стабилизация опухолевого роста, а у 75 % больных зрение даже улучшается.
Лучевая терапия показана и в случаях невозможности радикального хирургического лечения или отказе больного или его родственников от операции. Хирургическое лечение показано при ограничении опухоли орбитальным отрезком зрительного нерва в случаях резкого или быстропрогрессирующего снижения зрения. Вопрос сохранения глаза решается до операции. Если опухоль прорастает до склерального кольца, что хорошо видно на компьютерных томограммах, пораженный зрительный нерв подлежит удалению вместе с глазом, и об этом следует обязательно предупредить родителей ребенка.
В случае распространения опухоли в зрительный канал или в полость черепа о возможности хирургического вмешательства решает нейрохирург. При злокачественном варианте глиомы лечение бесперспективно.
Прогноз для зрения всегда плохой. Прогноз для жизни зависит от распространения опухоли в полость черепа. При заинтересованности зрительного перекреста смертность достигает 20 %. При распространении в гипоталамус и III желудочек смертность увеличивается до 55 %. Особенно ухудшается прогноз при возникновении злокачественного варианта глиомы — глиобластомы. Продолжительность жизни с момента появления первых симптомов не превышает 6-9 мес.
Вопрос-ответ

Какие симптомы могут указывать на опухоль зрительного нерва?
Симптомы опухоли зрительного нерва могут включать ухудшение зрения, двоение в глазах, потерю периферического зрения, а также боли в области глаз или головные боли. Важно обратиться к врачу при появлении этих признаков для своевременной диагностики.
Как диагностируется опухоль зрительного нерва?
Диагностика опухоли зрительного нерва обычно включает офтальмологическое обследование, магнитно-резонансную томографию (МРТ) и, в некоторых случаях, биопсию. Эти методы помогают определить наличие опухоли и её характеристики.
Каковы методы лечения опухолей зрительного нерва?
Лечение опухолей зрительного нерва может включать хирургическое вмешательство, радиотерапию и химиотерапию, в зависимости от типа и стадии опухоли. Врач подбирает наиболее подходящий метод лечения индивидуально для каждого пациента.
Советы
СОВЕТ №1
Регулярно проходите обследования у офтальмолога. Раннее выявление изменений в зрительном нерве может существенно повысить шансы на успешное лечение. Не игнорируйте симптомы, такие как ухудшение зрения или появление слепых пятен.
СОВЕТ №2
Обратите внимание на свое общее здоровье. Заболевания, такие как диабет и гипертония, могут негативно влиять на состояние зрительного нерва. Поддерживайте здоровый образ жизни, включая сбалансированное питание и регулярные физические нагрузки.
СОВЕТ №3
Если у вас есть предрасположенность к опухолям или у вас в семье были случаи заболеваний, связанных с зрительным нервом, обсудите это с врачом. Возможно, вам потребуется более частое наблюдение и дополнительные исследования.
СОВЕТ №4
Не стесняйтесь задавать вопросы своему врачу. Понимание диагноза и возможных методов лечения поможет вам принимать более обоснованные решения и снизит уровень тревожности. Не бойтесь искать второе мнение, если это необходимо.