
Макулярный разрыв был впервые описан Кнаппом в 1869 году у пациента после травмы глаза вследствие удара тупым предметом. В дальнейшем описания истории таких заболеваний фиксируют связь возникновения данного дефекта макулы с предшествующей глазной травмой. Однако в прошлом столетии офтальмологи все чаще стали признавать, что это заболевание в большинстве случаев встречается у пациентов, не перенесших травмы, поэтому такие атравматичные макулярные разрывы теперь дифференцируют от разрывов, возникших вследствие травмы. Такие атравматичные разрывы получили название идиопатических (спонтанных) сквозных разрывов. Статистика заболевания в 1990-х годах свидетельствует, что больше 80 % макулярных разрывов являются идиопатическими, и только менее 10 % имеют причиной возникновения глазную травму.
Причины возникновения
- Травма. Среди пациентов, имевших контузию глаза, у 6 % развивается осложнение в виде макулярного разрыва. Травма глаза может также иметь осложнения в виде отека сетчатки и макулы, кровоизлияния внутри сетчатки или под сетчаткой.
- Прогрессирующая миопия высокой степени (foveal schisis). У пациентов с миопией высокой степени может развиваться фовеолярный шизис и/или ламеллярные разрывы, которые могут развиться до сквозного макулярного разрыва. У 31 % пациентов с фовеолярным шизисом со временем развивается макулярный разрыв. Факторы риска возникновения заболевания включают в себя осевое удлинение глаза, макулярную хореоретинальную атрофию, и характерные для миопии особенности внутренней витреоретинальной поверхности.
- Предшествующая регматогенная отслойка сетчатки: у менее чем 1 % пациентов с удачно проведенным хирургическим лечением регматогенной отслойки сетчатки в последующем развивается макулярный разрыв.
- Теория витреоретинального растяжения (идиопатические макулярные разрывы) Уменьшение объёма кортикального стекловидного тела приводит и к растяжению фовеолы.
Патофизиология

У пациентов, прошедших успешное оперативное лечение регматогенного отслоения сетчатки, также иногда может развиваться макулярный разрыв (менее чем в 1 % случаев). Патофизиология возникновения разрывов в таких случаях не совсем понятна, хотя здесь могут быть задействованы такие факторы, как возникновение эпиретинальной мембраны, атрофия фовеолярных фоторецепторов и гидравлическое давление.
В 1924 году Листер обнаружил, что в процесс возникновения макулярных разрывов может быть вовлечено стекловидное тело. В 1988 году Джонсон и Гасс впервые предложили классификацию различных видов передне-заднего и тангенциального растяжения стекловидного тела в зоне фовелы, являющихся главной причиной идиопатических макулярных разрывов. Сморщивание префовеолярного кортикального стекловидного тела при его фиксации к фовеолярной зоне приводит к растяжению. Ниже приведены стадии макулярного разрыва по Гассу:
Стадия 1а: отслоение фовеллы. Образование макуллярной кисты. Тангенциальное растяжение стекловидного тела приводит к поднятию фовеллы, сопровождающемуся усилением жёлтой пигментации из-за скопления лютеина. Иногда эту стадию называют стадией желтой точки. Ее можно наблюдать в случаях центральной серозной хориоретинопатии.
- Стадия 1б: с поднятием фовеоллярной сетчатки до уровня перифовеолярной зоны, желтое лютеиновое пятно меняет форму на желтое кольцо. Постоянное растяжение фовеллы приводит к расслоению более глубоких слоев сетчатки в зоне верхушки.
- Стадия 2: На этой стадии происходит сквозной разрыв сетчатки. Этот разрыв имеет менее 400 µm в диаметре. Сквозной дефект может иметь несколько эксцентрическое положение и на этой стадии может образоваться псевдомембран (уплотнение стекловидного тела с его глиальной пролиферацией), которая, однако, не закрывает деффекта ткани сетчатки.
- Стадия 3: эта стадия характеризуется сквозным макулярным разрывом более 400 µm в диаметре с частичной витреомакулярной тракцией.
- Стадия 4: Характеризуется сквозным макулярным разрывом на фоне полного отслоения стекловидного тела от макулы и диска.Однако, даже при очевидном отслоении стекловидного тела, может остаться небольшая тракция кортикального стекловидного тела, что способствует дальнейшему увеличению размеров макулярного разрыва.
- Внедрение оптической когерентной томографии (ОСТ) позволило получить еще больше доказательств гипотезы относительно того, что причиной идиопатических макулярных разрывов может служить тракция стекловидного тела. ОКТ дала возможность более точной оценки внутренней поверхности стекловидного тела и её адгезии к фовелле, что приводит к растяжению фовеллы по косой. Стадия постоянного натяжения фовеллы, не изменяющей её анатомии и архитектоники, считается Стадией 0. У 40-50 % пациентов клинические показатели данной стадии длительное время могут оставаться без изменений.
Нарушение зрения у пациентов с макулярным разрывом напрямую связано с отсутствием тканей сетчатки в зоне фовеллы. Однако, нарушение зрения может быть непропорционально размеру макулярного разрыва и потенциально может быть связано со скоплением субретинальной жидкости, что приводит к атрофии фоторецептора.
Прогрессирование макулярного разрыва варьирует в зависимости от его клинической стадии в конкретный момент. Исследования показали, что около 50 % случаев макулярного разрыва на стадии 0 и 1 могут прогрессировать как в сторону нормальных органических изменений, так и в сторону дальнейшего развития заболевания. На стадии 2 разрыв прогрессирует, и его состояние ухудшается до стадии 3 или 4, сопровождаясь ухудшением зрения. По самым оптимистическим оценкам, прогрессирование идиопатического сквозного макулярного разрыва может происходить в 12 % случаев. В редких случаях (до 5%), сквозной макулярный разрыв может спонтанно регрессировать, в результате чего улучшается зрение.
Врачи отмечают, что макулярный разрыв сетчатки является серьезным заболеванием, которое может привести к значительной потере зрения. Специалисты подчеркивают важность ранней диагностики, так как своевременное обращение к офтальмологу может существенно повысить шансы на успешное лечение. Основными симптомами разрыва являются искажение изображения и появление темных пятен в поле зрения. Врачи рекомендуют пациентам, особенно пожилого возраста, регулярно проходить обследования, так как возрастные изменения в сетчатке увеличивают риск возникновения данного заболевания. Лечение может включать хирургическое вмешательство, и врачи акцентируют внимание на том, что восстановление зрения после операции зависит от степени повреждения и времени, прошедшего с момента возникновения разрыва.

Симптомы

Симптомы макулярного разрыва часто обнаруживаются при случайном закрытии здорового глаза. Некоторые пациенты могут указать момент, в который произошел разрыв, однако такое случается редко. Как правило, процесс описывается ими как медленный и постепенный или почти незаметный. Позднее, увеличившись в размерах, макулярный разрыв может привести к центральной скотоме в центральном поле зрения пациента.
У некоторых пациентов заболевание может протекать бессимптомно, так что разрыв выявляется только при обычном офтальмологическом осмотре. Острота зрения у пациентов различается в зависимости от размера, местоположения и стадии макулярного разрыва. У пациентов с небольшим эксцентричным разрывом может сохраняться прекрасное зрение в пределах от 0,5 до 0,8. При несквозном макулярном разрыве острота зрения сохраняется в пределах от 20/30 до 20/50. Однако при большом или сквозном макулярном разрыве острота зрения обычно варьируется от 0,05 до 0,25.
Сквозной макулярный разрыв, обнаруженный при помощи прямой офтальмоскопии, характеризуется четко выраженным повреждением в макуле круглой или овальной формы с желто-белыми скоплениями в основании. Эти желтые точки, вероятно, представляют собой заполненные липофусцином макрофаги или узелковые образования основного пигментного эпителия со скоплением эозинофилов. При биомикроскопическом осмотре, при котором используют четко направленный луч света, хорошо видно округлое углубление с четко очерченными краями. У большиства пациентов над углублением можно наблюдать полупрозрачные ткани, образующие псевдомембрану. Вокруг углубления обычно собирается субретинальная жидкость. По краям разрыва можно также наблюдать кистовидные изенения сетчатки. Пигментный эпителий сетчатки обычно не претерпевает изменений в острый период, однако со временем он может быть подвержен хроническим изменениям, таким как атрофия и гиперплазия. Под эпиретинальной мембраной может наблюдаться нежное сморщивание внутренних слоёв сетчатки, которое иногда даже может маскировать разрыв.
Наиболее точной диагностикой для определения сквозных макулярных разрывов и отличия их от других видов повреждений являются тест Вотцке-Аллен и лазерная световая диагностика.
Тест Вотцке-Аллен заключается в направлении узкого вертикального луча света, используя макулярную линзу, через фовеллу. Тест считается положительным, когда пациент наблюдает разрыв полоски света. Такая реакция обусловлена дефектом ткани в области разрыва, что провоцирует скотому. Сужение или искажение полоски света еще не является признаком сквозного макулярного разрыва, и должно трактоваться с осторожностью.
Лазерная световая диагностика проводится следующим образом – небольшой пучок света (диодный луч) диаметром 50-µm направляется на повреждение и проходит через него. Тест считается положительным, когда пациент не видит этот пучок света, пока он направлен на повреждение, но начинает видеть его, как только он направляется на здоровую зону сетчатки. Некоторые лазеры могут проецировать маленький тестовый объект, часто звездочку, на фовеллу. Упациента спрашивают, видит ли он этот объект.
Диагностика
В настоящее время основным методом диагностики МР является ОКТ, позволяющая оценивать такие важные характеристики, как размер, высоту края разрыва, толщину сетчатки и пр.. Кроме того, данные ОКТ могут служить в качестве прогностических критериев анатомического и функционального эффекта хирургического лечения МР, а также для оценки морфологических изменений в динамике после операции.
Визометрия (проверка остроты зрения). Острота зрения пациентов варьирует в зависимости стадии и размера макулярного разрыва сетчатки. Ламеллярные разрывы сетчатки и макулярные разрывы I стадии характеризуются сохранением высокой остроты зрения до 0,6-0,8. Сквозные макулярные разрывы II стадии в пределах 300 мкм снижают остроту зрения до 0,2-0,5. При сквозном макулярном разрыве III и IV стадии и размере свыше 300 мкм острота зрения обычно варьирует в пределах 0,08 — 0,15.
- Оптическая когерентная томография (OCT) дает возможность получить изображения срезов сетчатки с высокой степенью разрешения. ОСТ дает возможность специалисту выявить макулярный разрыв и изменения в окружающей сетчатке, а так же помогает отличить ламеллярные разрывы и кистовые поражения макулы от макулярного разрыва. ОСТ даёт возможность оценить состояние витреомакулярной поверхности. Это дает возможность врачу выявить самые ранние стадии макулярного разрыва, а также другие причины ухудшения зрения, ассоциируемые с макулярным разрывом, например, такие как скопление субретинальной жидкости.
- Тест-сетка Амслера. Использование сетки Амслера позволяет пациенту проводить самоконтроль, выявляя наличие искажений линий или выпадения каких-либо участков центрального зрения. Однако использование теста позволяет диагностировать только наличие макулярной патологии без уточнения характера заболевания. Отклонения, выявленные при помощи сетки Амслера, могут свидетельствовать о повреждениях макулы, однако не всегда это могут быть именно макулярные разрывы. Из-за плохой фиксации поврежденного глаза очень трудно, используя сетку Амслера, нанести на диаграмму расположение маленьких центральных скотом, появившихся в результате возникновения сквозного макулярного разрыва.
- Микропериметрия и мультифокальная электроретинография также используются для исследования пациентов с идиопатическими макулярными разрывами. Эти исследования оценивают функциональные потери при макулярных разрывах.
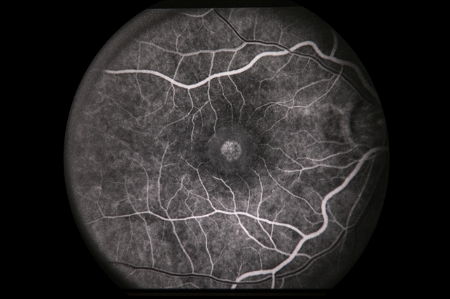
Флюоресцеиновая ангиография (ФАГ) может оказаться так же полезной для точного определения макулярных разрывов, в отличие от других видов повреждений, таких как СМЕ и хороидальная неоваскуляризация (ХНВ). Сквозные макулярные разрывы 3 стадии обычно на ангиограмме показывают оконный дефект. На атрериовенозной фазе ангиограммы очень хорошо прослеживается наличие гранулярного гиперфлюоресцентного окна, возникшего вследствие изменений внешнего пигментного слоя. В отличие от других видов повреждений здесь не наблюдается утечки или аккумуляции красящего вещества. При СМЕ постепенная аккумуляция красящего вещества может наблюдаться в кистовидных образованиях, имеющих на ангиограмме лепестковидную форму.
- Высокочастотный В-скан УЗИ может помочь оценить связь макулы и стекловидного тела; в этом смысле исследование помогает определить стадию заболевания, но не является 100 надежным при отличии макулярного разрыва от других повреждений подобного характера.
Макулярный разрыв сетчатки — это серьезное заболевание, о котором многие люди говорят с тревогой. Пациенты описывают свои ощущения как резкое ухудшение зрения, появление искажений и темных пятен в центре поля зрения. Многие отмечают, что это состояние сильно влияет на качество жизни, затрудняя выполнение повседневных задач, таких как чтение или вождение автомобиля. В социальных сетях можно встретить обсуждения о том, как важно своевременно обращаться к врачу при первых признаках. Люди делятся своими историями о лечении и реабилитации, подчеркивая важность поддержки близких. Некоторые пациенты отмечают, что после операции по восстановлению зрения они чувствуют себя значительно лучше, но процесс адаптации требует времени и терпения.

Лечение
Сегодня не существует консервативного способа лечения макулярных разрывов. В настоящее время проводятся клинические исследования роли плазмина в «хемовитректомии». Исследования показали хорошие результаты лечения идиопатических макулярных разрывов при введении интравитреально плазмина без хирургического вмешательства.
Учитывая возможность улучшения зрения после витрэктомии, а также 12 % вероятности развития макулярного разрыва на втором глазу, офтальмологи ищут радикальные способы хирургического лечения данного заболевания.
Показанием хирургического вмешательства при лечении макулярных разрывов является наличие сквозного дефекта. Как только появляется такой дефект, вероятность спонтанного излечения резко падает. Поэтому при определении 2 степени сквозного макулярного разрыва или выше рассматривается вопрос о хирургическом лечении.
Техники хирургического лечения макулярных разрывов:
- Механическое сведение / сжатие краев
- Радиальные надрезы
- Дугообразная ретинотомия
- Перевернутый лоскут ВПМ
- Трансплантация свободного лоскута ВПМ
- Трансплантация лоскута сетчатки
- Трансплантация передней капсулы хрусталика
- Тампонада силиконом / ПФОС+силикон
- Удаление задних гиалоидных слоев СТ — окрашивание и механическое удаление ВПМ без механического сведения краев разрыва — тампонада воздухом и аппликация полученной ex tempore PRP (проф. Шкворченко)
Разрывы 1 степени и ламеллярные разрывы подлежат наблюдению специалиста. Исторически лечение макулярных разрывов началось с применения фармакологических препаратов, таких как анксиолитики и сосудорасширяющие, развиваясь дальше до различных хирургических техник, таких как циркляж, прямая фотокоагуляция краев разрывов и внутриглазная газовая тампонада посредством витректомии. В 1982 году Гонверс и Мейкмер первыми рекомендовали витректомию с введением газа интравитреально и последующим вунужденным положением головы лицом вниз. Келли и Вендель сообщают, что зрение может быть стабилизировано или даже улучшено при хирургическом уменьшении тангенциального натяжения макулы. Посредством такого хирургического вмешательства возможно придать сетчатке более плоскую форму, что, возможно, уменьшит примыкающие кистообразные изменения сетчатки и нейросенсорное отслоение макулы.
В 1991 году Келли и Вендель продемонстрировали, что витректомия с удалением кортикальной мембраны стекловидного тела и эпиретинальной мембраны и газовая тампонада с обязательным последующим положением головы лицом вниз могут давать отличные результаты при лечении сквозных макулярных разрывов. В начале их практики в их отчетах значилось 58 % успешно проведенных операций относительно анатомических показателей и 42 % относительно показателей улучшения остроты зрения на 2 и более строчек. В последующих отчетах значилось 73 % успешных операций относительно анатомических показателей и 55 % относительно визуальных улучшений остроты зрения на 2 или более строк. В настоящее время показатели анатомического улучшения варьируют от 82 до 100 %. Проспективные рандомизированные исследования Vitrectomy for Treatment of Macular Hole Study Group витректомии в лечении макулярных разрывов, проведенные на контрольной группе пациентов с 2, 3 и 4 стадиями разрывов, показали, что при хирургическом вмешательстве в таких случаях зрение улучшается больше, чем у пациентов, лечащихся консервативным путем. Однако, при оперативном вмешательстве наблюдались и осложнения в виде изменений пигментного эпителия макулярной сетчатки и возникновения катаракты.
Некоторые аспекты хирургического вмешательства могут варьировать, однако базовая техника остается неизменной. Передняя и средняя часть стекловидного тела удаляются посредством стандартной 3-port pars plana витректомии. Пациенты с макулярным разрывом часто подвергаются витректомии с использованием витректомических систем более мелкого размера (напр., 25G). Для таких трансконьюнктивных витректомических систем специально были разработаны и используются соответствующие инструменты.
Сложным элементом при операции является удаление околомакулярной тракции. В таких случаях необходимо обращать особое внимание на факторы, способствовавшие появлению тракции – задней гиалоидной мембране, внутренней пограничной мембране и сопутствующим эпимакулярным мембранам. Тракция, вызванная задней гиалоидной мембраной, должна быть ослаблена удалением части стекловидного тела в околомакулярной зоне или применением данного метода в комбинации с полным отсечением задней части стекловидного тела. Для достижения этой цели можно использовать различные хирургические техники и инструменты, влючая силиконовую канюлю с мягким кончиком или витректомический нож.
Удаление внутренней пограничной мембраны считается необходимой составляющей успешного исхода операции. Эта тонкая процедура «рексиса» в настоящее время проводится с использованием специального красящего вещества с целью выделить ILM на фоне сетчатки для облегчения его визуализации и соответствующих манипуляций.
Если в глазу есть эпиретинальные мембраны, их также следует удалить. Разные хирурги используют разные техники для выполнения данной процедуры.
После тщательного непрямого офтальмологического исследования периферической сетчатки относительно выявления отверстий и разрывов, проводится процедура высушивания полости стекловидного тела воздухом. Операция заканчивается тампонадой. Исследования показали, что более длительный период внутренней тампонады способствует более успешному исходу.
Для внутренней тампонады используется стерильный воздух или различные концентрации перфлюоропропана или гексафторида серы, в зависимости от преференций хирурга. Основная разница при использовании различных газов состоит в длине газового пузырька и, соответственно, объёме внутренней тампонады, которое получает пациент в течение первых несколько дней после операции. Для внутренней тампонады пациентам используется также силиконовое масло. Оно позволяет облегчить послеоперационный период пациента, касающийся вынужденного обязательного положения головы. Однако, использование силиконового масла предполагает второе хирургическое вмешательство для удаления масла по окончании необходимого срока. Более того, результаты улучшения зрения при использовании силиконового масла несравнимы с результатами, достигаемыми при газовой тампонаде, очевидно вследствие токсического действия силиконового масла на фоторецепторы и пигментный эпителий.
Использование PRP-терапии улучшает анатомические результаты лечения, позволяя добиться блокирования разрывов, в том числе большого диаметра. Наличие зоны репарации не препятствует восстановлению функциональных результатов после операции.
Научные споры
Витректомические системы 20-gauge, 23-gauge и 25-gauge
Ни одна из представленных выше виректомических систем не обеспечивает значительного и принципиального преимущества, однако системы меньшего размера производят достаточно маленькие разрезы для быстрого самозатягивания, что позволяет избежать индуцированного астигматизма, возникающего в результате ушивания склеротомии. Витректомические системы маленького размера, особенно 25G, не могут обеспечить необходимую жесткость, что усложняет процесс витректомической операции, особенно для хирургов, привыкших оперировать системами 20-gauge размера.
Удаление внутренней пограничной мембраны (ILM)
Удаление ILM увеличивает процент закрытия разрыва по статистике до 93-100%. При этом, однако, процесс улучшения зрения может быть замедленным.
Использование органических красящих веществ
Индоцианин (ICG) был первым органическим красящим веществом, используемым для макулярной хирургии. Существует большое количество литературы, акцентирующей внимание на токсичности ICG красящего вещества для пигментного эпителия сетчатки. Однако, несмотря на лабораторные исследования и статьи, призывающие соблюдать осторожность в использовании ICG красящего вещества, такое же количество научной литературы документально зафиксировало хорошие хирургические и визуальные результаты. ICG красящее вещество до сих пор используется хирургами, с соблюдением осторожности. Трипан синий (trypan blue) также используется для окрашивания ILM, причем в литературе не упоминается о его токсичности. С другой стороны, Trypan blue не окрашивает ILM настолько эффективно, как ICG. Для облегчения процесса срезания ILM также используется Triamcinolone acetonide. В 2008 году это было единственным вспомогательным средством при операциях по удалению ILM, подтверждённым FDA и одобренным для использования в глазной хирургии.
Лечение ламеллярных разрывов
Ламеллярные разрывы имеют обычно сходную с полными разрывами макулы симптоматику, сопровождающуюся, однако, минимальной потерей центрального зрения. До недавнего времени ламелярные разрывы лечились консервативным способом. Хирургическое вмешательство проводится только в случаях потери зрения или сильного проявления симптомов у пациента, причем в последнее время предпочтение отдается витректомиии маленького размера. Совершенствование удаления ILM позволяет расширить показания витрэктомии при ламелярных разрывах. Гарретсон и др. сообщают о серии удачно проведенных операций по лечению ламелярных макулярных разрывов, из которых 93 % оперированных глаз показали улучшение остроты зрения. Среднее улучшение зрения составило 3.2 строки по Снеллену.

Осложнения
Осложнения после операции включают отслоение сетчатки, ятрогенный разрыв сетчатки, расширение размеров макулярного разрыва, макулотоксичность, послеоперационное повышение ВГД и возможность возникновения катаракты.
Послеоперационное увеличение ВГД обычно лечится лекарственными препаратами, но иногда может возникнуть необходимость в антиглаукоматозной операции.
Невозможность достижения срастания разрыва / новое образование разрыва: гистопатологические исследования образцов, взятых у пациентов после неудачной операции макулярного разрыва, продемонстрировали массовое разрастание клеток и новосформировавшийся коллаген, чему способствовала оставшаяся ILM. Оставшаяся ILM и связанные с ней коллагеновые фибриллы могут вызывать постоянное натяжение, мешающее зарастанию макулярного разрыва.
Отслойка сетчатки / ятрогенные разрывы: исследования показывают постоперационное отслоение сетчатки в 2-14 % случаев.
Дефекты поля зрения. После хирургического лечения макулярного разрыва могут появляться дефекты поля зрения. Они связаны с дегидратацией слоя нервных волокон. Возможно, уменьшения времени операции, уменьшение потока воздуха и наклонного положения инфузионных канюль (которое возникает вследствие скошенных надрезов витректомий более маленького размера) позволит уменьшить это осложнение.
Возникновение катаракты. Ретроспективное исследование случаев Бхатнагаром и др. (2007 г.) показывает, что удаление катаракты до или одновременно с оперативным лечением макулярного разрыва может иметь лучшие и более длительные результаты улучшения зрения, чем удаление катаракты после лечения макулярного разрыва из-за риска повторного открытия разрыва после оперативного удаления катаракты. Существует небольшой риск повторного образования разрыва сразу же после оперативного лечения катаракты. Применение профилактических мер относительно кистоидного макулярного отёка может уменьшить риск образования повторного разрыва после оперативного лечения катаракты.
Прогнозы
В 1994 году Вендель наблюдал за 235 глазами, перенесшими хирургическое лечение макулярного разрыва. Из этих случаев 93 % пациентов имели хорошие результаты после 1 операции, 60 % пациентов получили прибавку зрения в 4 строки и 84 % пациентов получили +2 строки улучшения зрения. В этой группе 58 % пациентов получили 20/40 или лучшие результаты конечного улучшения остроты зрения.
Многочисленные другие исследования также отмечают подобные соотношения успешного исхода операций, хотя возобновление хорошего зрения может быть затянуто во времени и задерживаться из-за возникновения катаракты. Удаление ILM повышает процент удачно проведенной операции, хотя потенциально оно может удлинить время реабилитации остроты зрения.Исследование срезов на ОСТ до и после операции дает дополнительные данные относительно прогноза улучшения зрения после оперативного лечения макулярного разрыва.
Факторы, которые дают возможность предсказывать на ОСТ восстановления хорошего зрения после хирургического лечения макулярного разрыва, следующие:
- Размер макулярного разрыва (минимальный диаметр < 311 µm, максимальный – до 800 µm)
- Высота тракции краев макулярного разрыва, определяемая по различным параметрам (напр., высота макулярного разрыва)
- Процесс срастания фоторецепторного внутреннего и внешних сегментов, который обычно занимает до 6 месяцев.
Хотя оперативное лечение макулярных разрывов не всегда показано, важно, чтобы при принятии решения об операции пациент понимал возможность потенциального риска возникновения макулярного разрыва (12%) на втором глазу.
Вопрос-ответ
Как лечится макулярный разрыв сетчатки?
Макулярный разрыв лечится только хирургическим методом. Для этого выполняется операция – витрэктомия. В ходе оперативного вмешательства происходит удаление стекловидного тела вместе с оболочкой, имеющей плотное соединение с областью макулы.
Чем опасен макулярный разрыв?
Нескорректированный хирургическим путем макулярный разрыв может привести к инвалидности и, в любом случае, заметно снижает уровень жизни человека, так как зрение стремительно ухудшается.
Можно ли жить с разрывом сетчатки?
Как неполные, так и полные разрывы крайне опасны. Требуют немедленного лечения под контролем врача. Группы специалистов по офтальмологии, хирургии, лазерной хирургии. Последствия разрыва сетчатки включают отслойку, но ее можно предотвратить с помощью экстренных мер.
Можно ли восстановить макулу?
Если сетчатка разрывается в так называемой макуле (центральной области), человек навсегда теряет способность читать, различать мелкие детали. Исправить ситуацию может только сверхсложная микрохирургическая операция.
Советы
СОВЕТ №1
Регулярно проходите обследования у офтальмолога, особенно если у вас есть предрасположенность к заболеваниям глаз или вы замечаете изменения в зрении. Раннее выявление макулярного разрыва может значительно улучшить прогноз лечения.
СОВЕТ №2
Обратите внимание на симптомы, такие как искажение или потеря центрального зрения, появление темных пятен в поле зрения. Если вы заметили что-то подобное, немедленно обратитесь к врачу.
СОВЕТ №3
Соблюдайте здоровый образ жизни: правильно питайтесь, занимайтесь физической активностью и избегайте курения. Эти факторы могут помочь снизить риск развития заболеваний глаз, включая макулярные разрывы.
СОВЕТ №4
Если вам поставили диагноз макулярного разрыва, обсудите с врачом все доступные варианты лечения, включая хирургические вмешательства. Знание всех возможных подходов поможет вам сделать осознанный выбор.
Стадия 1а: отслоение фовеллы. Образование макуллярной кисты. Тангенциальное растяжение стекловидного тела приводит к поднятию фовеллы, сопровождающемуся усилением жёлтой пигментации из-за скопления лютеина. Иногда эту стадию называют стадией желтой точки. Ее можно наблюдать в случаях центральной серозной хориоретинопатии.
Визометрия (проверка остроты зрения). Острота зрения пациентов варьирует в зависимости стадии и размера макулярного разрыва сетчатки. Ламеллярные разрывы сетчатки и макулярные разрывы I стадии характеризуются сохранением высокой остроты зрения до 0,6-0,8. Сквозные макулярные разрывы II стадии в пределах 300 мкм снижают остроту зрения до 0,2-0,5. При сквозном макулярном разрыве III и IV стадии и размере свыше 300 мкм острота зрения обычно варьирует в пределах 0,08 — 0,15.
Флюоресцеиновая ангиография (ФАГ) может оказаться так же полезной для точного определения макулярных разрывов, в отличие от других видов повреждений, таких как СМЕ и хороидальная неоваскуляризация (ХНВ). Сквозные макулярные разрывы 3 стадии обычно на ангиограмме показывают оконный дефект. На атрериовенозной фазе ангиограммы очень хорошо прослеживается наличие гранулярного гиперфлюоресцентного окна, возникшего вследствие изменений внешнего пигментного слоя. В отличие от других видов повреждений здесь не наблюдается утечки или аккумуляции красящего вещества. При СМЕ постепенная аккумуляция красящего вещества может наблюдаться в кистовидных образованиях, имеющих на ангиограмме лепестковидную форму.