
Характер изменения хрусталика в различных случаях прободных ранений бывает разным. Например, частичное помутнение хрусталика почти не оказывает влияния на течение раневого процесса, тогда как полное разрушение хрусталика само по себе может привести к гибели глаза.
Травматическая катаракта является одной из основных причин инвалидности преимущественно молодых людей. Среди инвалидов по зрению, потерявших прежнюю специальность, 70,9 % составляли лица с монокулярной афакией и травматической катарактой.
Частота травматической катаракты колеблется от 25 до 50 % среди исходов травм глазного яблока в мирное время. При прободных ранениях глазного яблока катаракта развивается в 39,8-47,1 % случаев, а при контузиях — в 20- 37 %, в том числе в 13 % с дислокацией хрусталика.
Среди лиц, прооперированных по поводу травматической катаракты, в 80,7 % случаев она явилась следствием прободного ранения, а в 19,3 % — контузий.
Классификация
Единой общепринятой классификации травматической катаракты, учитывающей все аспекты заболевания (этиопатогенетические, морфологические, клинические и хирургические), до настоящего времени не существует.
По степени прогрессирования катаракты:
- стационарные (непрогрессирующие);
- медленно прогрессирующие;
- быстро прогрессирующие, вызывающие повышение внутриглазного давления и не вызывающие повышения внутриглазного давления.
По состоянию капсулы хрусталика:
- без разрыва капсулы;
- с разрывом капсулы;
- разрушение хрусталика.
По наличию инородного тела, вызвавшего ранение глаза: с/без инородного тела;
По местонахождению хрусталика:
- без смещения хрусталика,
- с подвывихом,
- с вывихом в переднюю камеру, в стекловидное тело
М. Скрипниченко добавляет к этой классификации мигрирующий вывих хрусталика, когда последний свободно перемещается из передней камеры в стекловидное тело и обратно.
Наиболее приемлемой является классификация дислокаций хрусталика, предложенная Н. П. Паштаевым.
Он различает:
- подвывих хрусталика I степени — хрусталик не имеет бокового смещения по отношению к оптической оси глаза, но возможны незначительные смещения вдоль оптической оси; при этом наблюдается иридоденез, уменьшение или увеличение глубины передней камеры; волокна цинновой связки частично разорваны;
- подвывих хрусталика II степени — хрусталик имеет боковое смещение, смещается в сторону сохранившихся волокон цинновой связки, при значительном разрыве цинновой связки можно видеть экватор хрусталика даже с узким зрачком, наблюдаются неравномерное углубление передней камеры, выраженный факоденез, иридоденез, световые лучи проходят через периферические отделы хрусталика, при этом наблюдается миопическая рефракция;
- подвывих хрусталика III степени — цинновая связка разорвана больше чем на половину своей окружности, край хрусталика смещен за оптическую ось глаза, может значительно отклониться в стекловидное тело, наблюдается афакическая рефракция;
- вывих хрусталика в переднюю камеру — наблюдаются изменения со стороны роговицы, радужки, угла передней камеры, резкий подъем внутриглазного давления, быстрая потеря зрительных функций;
- вывих хрусталика в стекловидное тело — автор различает:
- хрусталик, фиксированный спайками к сетчатке, к диску зрительного нерва, цилиарному телу и в центре витреальной полости;
- хрусталик подвижный, свободно перемещающийся в стекловидном теле;
- хрусталик мигрирующий, перемещающийся из стекловидной полости в переднюю камеру и обратно.
А. В. Степанов выделяет в качестве отдельной нозологической формы постконтузионный дислокационный интраокулярный синдром, клинически выражающийся в:
- паралитическом мидриазе,
- подвывихе или вывихе хрусталика в переднюю камеру или стекловидное тело,
- грыже стекловидного тела,
- остром повышении внутриглазного давления (ВГД),
- резком понижении зрительных функций.
Чаще при контузиях хрусталик сохраняет свои форму и объем. Контузионные помутнения хрусталика могут быть локальными — точечными, диссиминированными, зонулярными, розеточными, звездчатыми и диффузными. При контузиях глазного яблока, сопровождающихся повреждением хрусталика, почти всегда имеются патологические изменения окружающих хрусталик структур глаза.
В последнее время А. Ф. Шураевым предложена клиническая характеристика и классификация травматических катаракт. В основу предлагаемой для обсуждения классификации положены два принципа: техническая возможность выполнения операции и исходное состояние зрительных функций.
Предлагается все травматические катаракты разделить на четыре категории
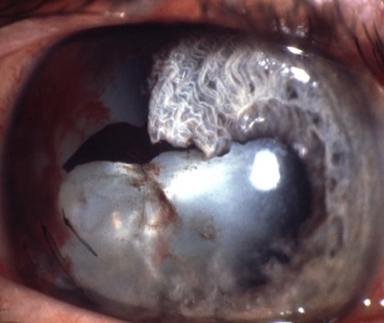
- Катаракта I — полная, полурассосавшаяся, пленчатая, без дислокации хрусталика, без рубцов роговицы либо с рубцами вне оптической зоны, без дефектов радужки, при сохранении структуры стекловидного тела. Функции сетчатки и зрительного нерва не изменены, что подтверждается электрофизиологическими исследованиями.
- Катаракта II — полная, полурассосавшаяся, пленчатая, с дислокацией хрусталика, наличием сращенных рубцов роговицы, дефектов радужки, явлениями глаукомы или металлоза начальной стадии. Зрительные функции сохранены.
- Катаракта III — выраженные изменения переднего отрезка глаза: обширные рубцы в оптической зоне, рубцовая деформация и дефекты радужки и зрачка, шварты в стекловидном теле, явления металлоза или глаукомы II стадии. Зрительные функции умеренно снижены.
- Катаракта IV — резкое снижение или полное отсутствие функций сетчатки и зрительного нерва, вызванное отслойкой сетчатки, глаукомой, металлозом, гипотоническим синдромом с начинающейся атрофией глазного яблока
Эта классификация травматических катаракт более походит на классификацию вообще травм глазного яблока. Однако автор использует ее, планируя вид и способ операции, определяя прогноз визуального исхода.
Наиболее удобна в клинической практике классификация стационарных травматических катаракт, разработанная С. Н. Федоровым и Э. В. Егоровой на основе классификации А. В. Хватовой. Она проста и в наибольшей степени отвечает выбору хирургического метода удаления травматической катаракты. В первую категорию стационарных травматических катаракт авторы включили все клинические случаи частичных и полных помутнений хрусталика с полной сохранностью его формы и объема, во вторую категорию — разнообразные полурассосавшиеся и пленчатые катаракты.
Катаракты первой категории в большинстве случаев (80,8 по данным авторов формировались после контузий глазного яблока, а катаракты второй категории в 85,4 % случаев являлись исходом проникающих ранений глазного яблока.
Врачи отмечают, что травматические катаракты представляют собой серьезную проблему для пациентов, получивших травмы глаз. Такие катаракты могут развиваться в результате механических повреждений, химических ожогов или радиационного воздействия. Специалисты подчеркивают, что своевременная диагностика и лечение играют ключевую роль в сохранении зрения. Врачи рекомендуют проводить тщательное обследование после травмы, чтобы выявить возможные повреждения хрусталика и других структур глаза. В случае подтверждения диагноза, хирургическое вмешательство становится необходимым для восстановления прозрачности хрусталика и улучшения качества жизни пациента. Кроме того, специалисты акцентируют внимание на важности профилактики травм, особенно в высокорисковых профессиях и при занятиях спортом.

Клиническая картина
Частота повреждения хрусталика, а также вид формирующихся помутнений его, обширность постравматических изменений других отделов глаза определяются характером его травмы. Проникающие ранения глаза с нарушением целостности капсулы хрусталика, а тем более с разрушением его, относятся к наиболее тяжелым по последствиям. Нужно отметить, что современная контузионная травма характеризуется особой тяжестью, вызывая гибель глаза в 72,2 % случаев. Клинические проявления последствий контузий глаз, осложненных повреждениями хрусталика, более тяжелые, а исходы менее благоприятные, чем при травматических катарактах, вызванных прободными ранениями.
Повреждение капсулы хрусталика создает условия для проникновения влаги передней камеры в хрусталиковое вещество, что приводит к его набуханию, помутнению и распаду. Деструкция и абсорбция хрусталикового вещества, как правило, сопровождаются воспалением глазного яблока, что приводит зачастую к глубоким дистрофическим изменениям его внутренних оболочек, а также к вторичной глаукоме.
При контузиях глазного яблока возможны разнообразные изменения хрусталика: от помутнения различных форм и степеней до смещения и полного вывиха.
Характерные изменения возникают в хрусталике при внедрении в глазное яблоко металлического инородного тела, особенно железного или медного. Первые проявления сидероза в хрусталике обнаруживаются в виде нечетко контурированных пятен ржавого цвета величиной от точечных до 1,5-2,0 мм в диаметре, располагающихся в форме ожерелья под передней капсулой хрусталика. Диаметр этого «ожерелья» обычно равняется 4-5 мм. Спустя несколько месяцев хрусталик полностью мутнеет.
Первые изменения хрусталика при ксеногенном халькозе выражаются в накоплении соединений меди в эпителии хрусталика в форме диска с радиально отходящими от него лучами (лепестками). Это образование имеет зеленовато-желтую окраску и напоминает изображение подсолнечника.
Из-за той характерной картины катаракта при халькозе получила название катаракты подсолнечника. Обычно она бывает видна при боковом освещении и при биомикроскопии, а в проходящем свете длительное время остается незаметной. Хрусталик полностью мутнеет через несколько месяцев или лет.
Осложненная катаракта при длительном воздействии на ткани глаза химически активного металлического инородного тела развивается у 63,6 % больных.
Клиническая картина травматической катаракты зависит от множества факторов, имеющих значение как в момент травмы (локализация и величина повреждения капсулы хрусталика, обширность повреждения других структур глаза, внедрение химически активного инородного тела, возможность инфицирования раны), так и в посттравматическом периоде (набухание, деструкция, абсорбция, организация и регенерация хрусталикового вещества, воспалительные и дегенеративные изменения глубоких структур глаза).
Повреждение хрусталика чрезвычайно редко бывает изолированным. В большинстве случаев травматическая катаракта сочетается с травматическими изменениями других структур глазного яблока. Поэтому многие офтальмологи относят все травматические катаракты к осложненным. В хирургическом аспекте осложненными травматическими катарактами следует считать те, при которых сопутствующие патологические изменения глазного яблока могут оказать влияние на оперативную технику, ход операции, течение послеоперационного периода, исход операции и прогноз лечения в целом.
Травматические катаракты вызывают множество обсуждений среди пациентов и специалистов. Многие люди, столкнувшиеся с этой проблемой, отмечают, что травма глаза стала неожиданным поворотом в их жизни. Некоторые делятся опытом, как после травмы ухудшилось зрение, и это повлияло на их повседневные дела. Врачебные мнения также разнообразны: некоторые специалисты подчеркивают важность своевременной диагностики и лечения, чтобы избежать серьезных осложнений. Пациенты часто говорят о страхе перед операцией, но многие отмечают, что после хирургического вмешательства качество жизни значительно улучшается. Важно, чтобы люди знали о возможностях восстановления и не боялись обращаться за помощью.
Хирургическое лечение
Вопрос о выборе оптимальных сроков удаления поврежденного хрусталика (в момент первичной хирургической обработки или в отдаленном периоде), а тем более о выборе оптимальных сроков для имплантации интраокулярной линзы взамен удаленного хрусталика до сих пор является предметом дискуссий.
Общеизвестно, что для достижения лучших визуальных результатов операции и сведения к минимуму возможных осложнений хирургическое вмешательство следует проводить после полного исчезновения воспалительных явлений в глазу, вызванных травмой. Кроме того, установлено, что для нормализации функциональных возможностей глаза необходимо в 2-3 раза больше времени, чем для исчезновения клинических признаков реактивного воспаления.
В офтальмологическую литературу введен термин «стационарная травматическая катаракта», что очень важно в хирургическом аспекте, так как это понятие выражает законченность процессов в хрусталике и окружающих его тканях, обусловленных травмой, и определяет оптимальные сроки хирургического лечения. С учетом этого некоторые авторы рекомендуют проводить хирургическое лечение травматической катаракты не ранее 4-12 месяцев после травмы. Другие исследователи с учетом возможной имплантации интраокулярной линзы считают оптимальным сроком хирургического лечения 1-2 года после травмы.
Многие авторы считают, что раннее удаление травматической катаракты способствует более быстрому выздоровлению поврежденного глаза и восстановлению зрительных функций. В то же время некоторые офтальмологи не исключают возможности различных осложнений, которые трудно прогнозировать в ранней стадии повреждения глаза, и поэтому не поддерживают тактику ранних реконструктивных вмешательств.
Учитывая опыт по обработке прободных ран и тяжелых контузий глазного яблока с разрывом склеры, ранений вспомогательных органов глаза, предлагается сохранить терминологию, принятую в военно-полевой офтальмологии, и разделить по срокам хирургические вмешательства при травматической катаракте на следующие периоды.
- Первичная экстракция травматической катаракты — во время первичной хирургической обработки раны глазного яблока.
- Отсроченная экстракция травматической катаракты — в сроки до 2 месяцев.
- Ранняя экстракция травматической катаракты — в сроки от 2 до 6 месяцев.
- Поздняя экстракция травматической катаракты — в сроки после 6 месяцев.
Имплантация ИОЛ при наличии необходимых показаний может быть проведена в любой срок.
Хирургическое вмешательство при свежей травматической катаракте следует проводить непосредственно при хирургической обработке раны глазного яблока в случае обширного повреждения капсулы хрусталика, быстром набухании хрусталиковых масс, ущемлении их в ране, когда степень повреждения хрусталика не оставляет сомнений в быстром развитии катаракты, а также в случаях со значительным повышением ВГД.
Это способствует быстрому стиханию факогенного воспаления, правильной адаптации краев раны, нежному рубцеванию и быстрому заживлению.
Отсроченное удаление травматической катаракты целесообразно при незначительном повреждении капсулы хрусталика, но в случаях, когда набухание и рассасывание хрусталиковых масс сопровождается легким факогенным воспалением, умеренным повышением внутриглазного давления, отеком роговицы из-за контакта хрусталиковых масс с эндотелием.
Показанием к ранней экстракции травматической катаракты является постепенное полное помутнение хрусталика как с набуханием хрусталиковых масс в капсуле, так и без набухания, а также полурассосавшаяся катаракта при отсутствии гипертензии и явлений иридоциклита.
Показанием для поздней экстракции травматической катаракты служит полное помутнение поврежденного хрусталика без набухания и пленчатая катаракта без признаков воспаления при нормальном тонусе глазного яблока.
Показанием к экстракции контузионной катаракты сразу после травмы является вывих хрусталика в переднюю камеру или под конъюнктиву, а также хрусталик, мигрирующий из витреальной полости в переднюю камеру и обратно. В случаях вывиха хрусталика в стекловидное тело срочное удаление связано с выраженной гипертензией с болевым синдромом, обусловленными его полной подвижностью.
Показанием к плановому хирургическому вмешательству служит подвывих хрусталика с помутнением или даже с сохранением прозрачности, но с нарастающей гипертензией, иридоциклитом, по снижениям зрительных функций и опасностью полного вывиха его в стекловидное тело.
В реабилитации больных с травматическими катарактами самое большое значение имеет адекватно выполненное хирургическое пособие. При удалении стационарных травматических катаракт I категории используют криоэкстракцию, зкстракапсулярную экстракцию, факоэмульсификацию, ленсэктомию.
При выборе метода удаления катаракты с различными степенями абсорбции хрусталикового вещества (II категория) исходят из полноты и равномерности абсорбции хрусталикового вещества, плотности сращений травмированного хрусталика с окружающими тканями. В этих случаях применяют следующие операции: дисцизию, капсулэктомию, иридкапсулэктомию, зкстракапсулярную экстракцию с аспирацией, факофрагментацией и капсулэктомией, удаление пленчатых и полурассосавшихся катаракт с одновременной витрэктомией через плоскую часть цилиарного тела.
Криоэкстракция возможна при травматической катаракте категории без повреждения капсулы хрусталика и при отсутствии обширных спаек хрусталика с окружающими тканями, в том числе со стекловидным телом. Криоэкстракцию травматической катаракты предпочтительнее проводить и в случае качественных и количественных изменений клеток эндотелия роговицы (в частности, при обширных ранах роговицы, особенно в центральной зоне, когда не показана имплантация искусственного хрусталика).
При наличии спаек между хрусталиком и окружающими его тканями после их рассечения можно произвести криоэкстракцию травматической катаракты I и II категорий. Удалять катаракту в этих случаях целесообразно через периферическую колобому радужки.
Метод экстракапсулярной экстракции может быть применен при травматических катарактах с сохранением формы, объема и положения хрусталика. В этих случаях можно провести дозированное вскрытие передней капсулы, эвакуацию ядра и катарактальных масс с визуальным контролем за полнотой удаления.
Экстракапсулярная экстракция возможна и при нарушении целостности передней капсулы хрусталика и частичной абсорбции его, но при сохранности задней капсулы. Если же имеется значительное помутнение центральной зоны роговицы (более 2 мм), плотность клеток эндотелия не превышает 1600 кл/мм2 и не планируется одновременно с экстракцией выполнить трансплантацию роговицы, а также при вывихах и подвывихах хрусталика, следует отдать предпочтение другому методу удаления катаракты.
Метод факоэмульсификации травматической катаракты оптимально показан лицам молодого и среднего возрастов:
- при отсутствии плотного ядра хрусталика, сохранившего свои объем, форму и заднюю капсулу;
- при прозрачной роговице и отсутствии изменений клеток эндотелия;
- при сохранении диафрагмальных свойств радужки;
- когда есть возможность одновременно имплантировать эластичную интраокулярную линзу, не продлевая операционного разреза. Разрез фиброзной капсулы при факоэмульсификации должен быть 2,8-3,0 мм.
В последнее время за рубежом и в ведущих клиниках нашей страны получает распространение метод факоэмульсификации катаракты с программным обеспечением, позволяющим точно дозировать мощность и частоту ультразвуковых колебаний, скорость и объем подачи раствора в пер днюю камеру глаза и интенсивность аспирации катарактальных масс. Доступ к мутному хрусталику осуществляется через тоннельный разрез склеры длиной 3,5-4 мм в 2-3 мм от верхнего лимба.
При необходимости имплантировать интраокулярную линзу разрез расширяют до 6 мм. Швы на фиброзную капсулу глаза, как правило, не накладывают. Этот метод, как и метод ленсэктомии, отличается малой травматичностью и отсутствием послеоперационного астигматизма.
Метод ленсэктомии наименее травматичен и высокоэффективен при удалении различного вида травматических катаракт, вывихнутых и прдвывихнутых хрусталиков. Его достоинством является возможность одновременного проведения витрэктомии и формирования зрачка при пленчатых катарактах в случаях, когда имеется обширный дефект радужки.
Ленсзктомия осуществляется через разрез в плоской части цилиарного тела. В неосложненных случаях потеря клеток эндотелия травматической катаракты всего 5-6 %. При удалении катаракты через плоскую часть цилиарного тела исключаются такие осложнения, как тракции цилиарного тела, коллапс глазного яблока, представляется возможность сохранить заднюю капсулу хрусталика, а в случаях помутнения иссекать оптическую часть ее с помощью ленсэктома. Эти операции характеризуются малой продолжительностью, отсутствием послеоперационного астигматизма.
При имеющейся тонкой пленчатой катаракте, не осложненной грубыми сращениями с окружающими тканями, следует проводить ее дисцизию. Если же имеется плотная пленчатая катаракта (в виде соединительнотканной шварты), то показана капсулэктомия.
В случаях, когда наряду с плотной швартообразной капсулой имеются участки полупрозрачных и мутных хрусталиковых масс, следует проводить комбинированную операцию: аспирацию рыхлых масс, факофрагментацию с помощью факоэмульсификатора и удаление плотной капсулы (капсулэктомия).

Вопрос-ответ
В чем разница между травматической катарактой и катарактой?
Травматическая катаракта — это помутнение хрусталика глаза, развивающееся после травмы. В отличие от возрастной катаракты, которая формируется постепенно, травматическая катаракта может возникнуть сразу после травмы глаза или развиваться в течение недель, месяцев или даже лет.

Как быстро развивается травматическая катаракта?
После ожога щелочью катаракта развивается спустя какое-то время. После ожога кислотой после воздействия кислот помутнение развивается практически мгновенно, поражая не только хрусталик, но и окружающие ткани.
Советы
СОВЕТ №1
Обратитесь к офтальмологу сразу после травмы. Даже если вы не чувствуете сильной боли или дискомфорта, важно провести полное обследование глаз, чтобы исключить наличие катаракты или других серьезных повреждений.
СОВЕТ №2
Следите за симптомами. Если вы заметили ухудшение зрения, появление бликов или размытости, не откладывайте визит к врачу. Эти симптомы могут указывать на развитие травматической катаракты.
СОВЕТ №3
Используйте защитные очки. При занятиях спортом или выполнении работ, связанных с риском травм для глаз, обязательно носите защитные очки, чтобы минимизировать вероятность получения травмы.
СОВЕТ №4
Обсудите с врачом возможные методы лечения. Если у вас уже диагностирована травматическая катаракта, узнайте о доступных вариантах лечения, включая хирургическое вмешательство, и выберите наиболее подходящий для вас.