
Одной из наиболее частых причин потери зрения у пациентов с диабетическим поражением глаз является прогрессирование патологического процесса до пролиферативной диабетической ретинопатии (ПДР) с выраженной фиброваскулярной пролиферацией, осложненной тракционной отслойкой сетчатки, гемофтальмом, рубеозом радужки и развитием неоваскулярной глаукомы.
Диабетическая ретинопатия — одно из наиболее тяжёлых осложнений сахарного диабета проявление диабетической микроангиопатии, поражающее сосуды сетчатой оболочки глазного яблока, наблюдаемое у 90% пациентов при сахарном диабете. Наиболее часто развивается при длительном течении сахарного диабета, однако своевременное офтальмологическое обследование позволяет выявить развитие ретинопатии на ранней стадии.
Причины ретинопатии связаны с постоянной гипергликемией, что приводит к окислительному стрессу, производству свободных радикалов, увеличению количества гликемических конечных продуктов, повреждению перицитов и их смерти, увеличению производства сосудистых факторов роста и увеличению проницаемости сосудов. Безусловно, при СД2 гипергликемия натощак и после пищевой нагрузки остается наиважнейшим фактором риска развития сосудистых нарушений, однако последние исследования доказывают, что в общей структуре факторов риска у этой категории больных преобладают нарушения липидного профиля.
Пролиферативная диабетическая ретинопатия угрожает потерей зрительных функций в связи с возникновением интравитреальных геморрагий, тракционной отслойки сетчатки и неоваскулярной глаукомы. Механизм неоваскуляризации до конца не ясен, несомненна роль факторов ангиогенеза.
В основе ишемических изменений сетчатки лежат окклюзии ретинальных капилляров. К их возникновению приводят следующие причины:
- утолщение базальной мембраны капилляров
- пролиферация эндотелиальных клеток
- гемодинамические нарушения
Окклюзии капилляров приводят к образованию неперфузируемых ишемических зон сетчатки. При наличии обширных ишемических зон возникает реактивная пролиферация новообразованных сосудов на поверхности сетчатки и в стекловидном теле. Преретинальная, препапиллярная неоваскуляризация и рубеоз радужки определяют тяжесть заболевания.
Этиология и патогенез
СД — клинически и генетически гетерогенное заболевание, характеризующееся абсолютной или относительной инсулиновой недостаточностью и/или периферической резистентностью тканей к инсулину. В результате снижается потребление глюкозы тканями и повышается концентрация ее в крови больного.
Гипергликемия — необходимое условие развития диабетических ретинопатий, в том числе и ДР. Независимо от типа сахарного диабета у больных рано или поздно формируется идентичный спектр тканевых, органных и сосудистых нарушений.
Патогенез ДР сложный, многофакторный и окончательно не изучен. Орган-мишень при СД — эндотелий сосудов, который активно участвует во многих локальных и системных метаболических процессах, в регуляции гемостаза, обеспечении целостности сосудистой стенки, избирательной пролиферации и миграции клеток разных типов, а также неоваскуляризации тканей при развитии в них ишемических процессов.
С современных позиций морфофункциональные изменения эндотелия (зндотелиальная дисфункция) при СД обусловлены каскадом множественных нарушений процессов клеточного и тканевого обмена, вызванных длительной гипергликемией. Глюкоза химически не столь инертна и в концентрациях, превышающих физиологическую норму, быстро вступает во многие химические реакции. Патологическое воздействие глюкозы на различные структуры клеток, тканей и органов получило название глюкозотоксичности. Существуют несколько путей, реализующих негативное воздействие повышенного уровня глюкозы.
- Связывание глюкозы с белками в различных тканях и клетках организма приводит к изменению их структуры, а следовательно, и функции. Гликозилированные белки нарушают целостность сосудистой стенки, способствуют увеличению секреции эндотелием эндотелинов, обладающих выраженным вязоконстрикторным действием, а также высвобождению из эндотелия и агрегированных тромбоцитов тромбоцитарного фактора роста, приводящего к пролиферации экстраваскулярного матрикса. Гликозилированные белки повышают агрегацию тромбоцитов и приводят к сдвигу гемостаза в сторону гиперкоагуляции, что способствует образованию микротромбов.
- Повышение интенсивности окислительных процессов жиров, глюкозы и белка приводит к окислительному стрессу, что сопровождается образованием высокотоксичных свободных радикалов, обладающих непосредственным повреждающим действием на различные клетки организма и. в первую очередь, клетки эндотелия. В результате ешё больше увеличивается проницаемость сосудистой стенки.
- Увеличение обмена глюкозы посредством полиолового пути с образованием сорбитола и фруктозы при участии альдозоредуктазы способствует отложению этих веществ внутри клеток эндотелия. Это приводят к повышению внутриклеточного осмотического давления, отёку эндотелия, нарушению глико- и фосфолипидного состава клеточных мембран, вызывающим структурно-функциональные изменения в эндотелиальных клетках, утолщение базальной мембраны капилляров сетчатки, уменьшение количества перицитов, а затем — к разрыву клеточных мембран, гибели клеток и разрушении капилляров.
- Нарушаются реологические свойства крови: возникает гиперагрегация тромбоцитов и эритроцитов, снижение способности эритроцитов изменять форму, что способствует образованию микротромбов, нарушению транспорта кислорода и гипоксии сетчатки.
Пигментный эпителий сетчатки, находящийся на пути движения тканевой жидкости, замедляет выравнивание трансмурального осмотического давления крови в обменных сосудах сетчатки при резком увеличении концентрации глюкозы в крови. Это создает отрицательное гидравлическое давление в ткани сетчатки, перерастяжение обменных сосудов и появление микроаневризм.
Таким образом, в развитии ДР и её прогрессировали наибольшее значение имеют следующие патогенетические механизмы:
- повышенная проницаемость сосудистой стенки, обусловливающая появление отёков, твердых экссудатом и геморрагии на глазном дне;
- процессы микротромбообразования и окклюзии ретинальньк сосудов, приводящие к нарушению транскапиллярного обмена, развитию зон ишемии и гипоксии сетчатки, что способствует выработке вазопролиферативных факторов с последующей фиброваскулярной пролиферацией на глазном дне.
Врачи подчеркивают, что диабетическая ретинопатия является одной из наиболее серьезных осложнений диабета, способной привести к потере зрения. Специалисты отмечают, что ранняя диагностика и регулярные осмотры глаз являются ключевыми факторами в предотвращении прогрессирования заболевания. Они рекомендуют пациентам с диабетом контролировать уровень сахара в крови, а также следить за артериальным давлением и уровнем холестерина. Врачи акцентируют внимание на важности образа жизни: сбалансированное питание, физическая активность и отказ от курения могут значительно снизить риск развития ретинопатии. Кроме того, современные методы лечения, такие как лазерная терапия и инъекции препаратов, помогают замедлить прогрессирование заболевания и сохранить зрение.

Классификация

Согласно этой классификации выделяются три основные формы (стадии) ретинопатии.
- Непролиферативная диабетическая ретинопатия (ДР I): характеризуется наличием в сетчатке микроаневризм, кровоизлияний, отёка, экссудативных очагов. Кровоизлияния имеют вид небольших точек или тёмных пятен округлой формы, локализуются в центральной зоне глазного дна или по ходу крупных вен в глубоких слоях сетчатки. Кровоизлияния могут иметь и штрихообразный вид. Твёрдые и мягкие экссудаты локализуются, в основном, в центральной части глазного дна и имеют жёлтый или белый цвет, чёткие или расплывчатые границы. Важным элементом непролиферативной диабетической ретинопатии является отёк сетчатки, локализующийся в центральной области или по ходу крупных сосудов.
- Препролиферативная диабетическая ретинопатия (ДР II): характеризуется наличием венозных аномалий, большим количеством твёрдых и мягких экссудатов, интраретинальными микрососудистыми аномалиями, множеством крупных ретинальных геморрагий.
- Пролиферативная диабетическая ретинопатия (ДР III): характеризуется неоваскуляризацией диска зрительного нерва и (или) других отделов сетчатки, кровоизлияниями в стекловидное тело, образованием фиброзной ткани в области преретинальных кровоизлияний. Новообразованные сосуды весьма тонкие и хрупкие. Вследствие этого часто возникают новые и повторные кровоизлияния. Образованные витреоретинальные тракции приводят к отслойке сетчатки. Новообразованные сосуды радужной оболочки часто являются причиной развития вторичной глаукомы.
- начальная стадия — наличие зон преретинальных новообразованных сосудов размером до половины площади ДЗН в одном или нескольких квадрантах глазного дна.
- выраженная стадия — преретинальная неоваскуляризация большей распространенности (размер неовасклярных комплексов больше половины площади ДЗН) и/или начальной препапиллярной неоваскуляризацией (меньше трети площади диска).
- тяжелая стадия — препапиллярная неоваскуляризация большой площади (больше трети площади диска).
Осложнениями пролиферативной диабетической ретинопатии являются: преретинальные и интравитреальные геморрагии, тракционная и/или регматогенная отслойка сетчатки, неоваскуляризация радужки с развитием неоваскулярной глаукомы.
В настоящее время концепция, рассматривающая ретинопатию как осложнение сахарного диабета, поставлена под сомнение. Всё большее число авторов рассматривает её в качестве обязательного довольно раннего симптома заболевания. Данный подход позволяет избежать выжидательной тактики в лечении диабетической ретинопатии, так как клинические проявления ретинопатии становятся видны только тогда, когда в сетчатке уже давно прогрессирует дистрофический процесс.
Клиническая картина

Непролиферативная стадия, на глазном дне выявляют
- ограниченное количество микроаневризм (выпячиваний капиллярной стенки);
- твёрдые экссудаты — желтоватые очаги отложения липидного материала;
- мягкие экссудаты — единичные ватообразные фокусы, представляющие собой локальные участки инфарктов в слое нервных волокон и сопровождающиеся нарушением аксоплазматического транспорта;
- интраретинальные точечные и мелкие штрихообразные геморрагии;
- интраретинальные микрососудистые аномалии, характеризующиеся развитием шунтов между артериолами и венулами, обходящими зоны окклюзированного капиллярного русла;
- в некоторых случаях — экссудативную макулолатию.
Препролиферативная стадия
В препролиферативной стадии количество всех вышеперечисленных изменений увеличивается, а также обнаруживают ранее не встречавшиеся очаги.
- Ретинальные вены становятся неравномерно расширенными, чёткообразными, появляются венозные петли
- Образуются обширные суб- и преретинальные геморрагии, а также кровоизлияния в СТ
- Развивается или прогрессирует экссудативная макулопатия, которая может проявляться локальной или диффузной экссудацией, ишемией макулы или кистевидным отеком. Последний образуется при длительно существующем диффузном отёке, когда экссудат начинает откладываться в межклеточные пространства наружного плексифпрмного слоя сетчатки.
- Нередко наблюдается сочетание ишемических и экссудативных изменений в макулярной зоне.
- В некоторых случаях развивается диабетическая папиллопатия, характеризующаяся преходящим отёком ДЗН.
В последнее время в практическую офтальмологию исследовательской группой по изучению раннего лечения ДР (ETDRS) введено понятие клинически значимого отёка макулы, который характеризуется:
- отёком сетчатки в области 500 мкм от центра фовеа;
- отложением твёрдых экссудатов в этих же пределах от центра фовеа:
- отёком сетчатки в зоне 1500 мкм и более от центра фовеа.
Главная особенность этой стадии ДР, свидетельствующая о переходе к более тяжёлым пролиферативным изменениям — образование ишемических зон сетчатки, указывающих на скорое появление неоваскуляризации.

- развитием неоваскуляризации сетчатки или ДЗН
- обширными преретинальными и витреальными геморрагиями
- образованием фиброзных шварт и плёнок.
По распространённости и тяжести фиброзных образований выделяют 4 степени пролиферативной ДР:
- I степень характеризуется наличием фиброзных изменений в зоне одной из сосудистых аркад;
- II степень — фиброз ДЗН
- III степень — фиброзные образования на ДЗН и на сосудистых аркадах
- IV степень — распространенные фиброзные поражения по всему глазному дну с захватом ДЗН. Кроме того, фиброваскулярная пролиферация может распространяться в СТ.
Исходы фиброваскулярных изменений:
- тракционная отслойка сетчатки
- гемофтальм
- неоваскулярная глаукома
Зрительные функции при ДР во многом зависят от состояния макулярной области. Острота зрения может снижаться до нескольких сотых при экссудативно-геморрагической макулапатии либо ишемии макулы, связанной с нарушением перфузии фовеолярной зоны, отложением твердого экссудата или появлением фиброзно-глиозных образований. Кроме того, резкое снижение зрения вплоть до полной слепоты могут вызвать обширные интравитреальные кровоизлияния, распространенная тракционная отслойка сетчатки или вторичная неоваскулярная глаукома.
Факторы риска значительного снижения зрения
Диабетическая катаракта. Истинная диабетическая катаракта встречается чаше у детей и молодых людей, чем у пожилых, чаще у женщин, и, как правило, бывает двусторонней. В отличие от возрастной, диабетическая катаракта, прогрессирует очень быстро и может развиться в течение 2-3 месяцев, нескольких дней и даже часов (при диабетическом кризе). В диагностике диабетической катаракты большое значение имеет биомикроскопия, позволяющая выявить хлопьевидные беловатые помутнения в самых поверхностных субэпителиальных слоях хрусталика, помутнения под задней капсулой, субкапсулярные вакуоли в виде темных, оптически пустых, круглых или овальных зон. Однако в отличие от слепоты при ретинопатии слепота при диабетической катаракте поддается хирургическому лечению.
- Неоваскулярная глаукома — это вторичная глаукома, обусловленная пролиферацией новообразованных сосудов и фиброзной ткани в углу передней камеры и на радужке. В ходе своего развития эта фиброваскулярная мембрана сокращается, что приводит к формированию больших по протяженности гониосинехий и к некупируемому повышению внутриглазного давления. Вторичная глаукома встречается относительно часто, при ее выраженном развитии плохо поддается лечению и приводит к необратимой слепоте.
Диабетическая ретинопатия — это серьезное осложнение диабета, о котором говорят многие пациенты и специалисты. Люди, столкнувшиеся с этой проблемой, часто делятся своими переживаниями о потере зрения и необходимости регулярных обследований. Некоторые отмечают, что ранняя диагностика и лечение могут значительно замедлить прогрессирование заболевания. Важно, чтобы пациенты понимали, как диабет влияет на здоровье глаз, и следили за уровнем сахара в крови. В социальных сетях можно встретить множество историй о том, как изменения в образе жизни, такие как правильное питание и физическая активность, помогли улучшить состояние. Многие пациенты также подчеркивают важность поддержки со стороны близких и медицинских работников, что помогает справляться с эмоциональными трудностями, связанными с диагнозом.

Диагностика

Диабетическая ретинопатия сетчатки протекает безболезненно, и на ранних стадиях заболевания пациент может не замечать снижения зрения. Возникновение внутриглазных кровоизлияний сопровождается появлением перед глазом пелены и плавающих темных пятен, которые обычно через некоторое время бесследно исчезают. В большинстве случаев внутриглазные кровоизлияния приводят к быстрой и полной потере зрения в результате образования в стекловидном теле витреретинальных тяжей с последующей тракционной отслойкой сетчатки глаза. Развитие отека центральных отделов сетчатки (см. строение глаза), ответственных за чтение и способность видеть мелкие предметы, также может вызывать ощущение пелены перед глазом. Характерно появление затруднений при выполнении работы на близком расстоянии или чтении.
Физикальное обследование включает:
- определение остроты зрения, что позволяет определить состояние центральной области сетчатки,
- прямую офтальмоскопию с широким зрачком и исследование глазного дна с помощью линзы Гольдмана;
- биомикроскопию переднего отрезка глаза и СТ, что позволяет определить состояние радужной оболочки и хрусталика,
- исследование угла передней камеры (гониоскопия),
- исследование поля зрения (компьютерная периметрия), для определения состояния сетчатки на периферии,
- измерение внутриглазного давления (тонометрия).
На наличие ретинальной ишемии указывают признаки, определяемые офтальмоскопически: новообразованные сосуды, микроаневризмы, в особенности на периферии глазного дна, ретинальные геморрагии, четкообразная деформация вен, ватообразные очаги.

Важное значение для выявления не видимых при офтальмоскопии изменений сетчатки, определения показаний к лазеркоагуляции сетчатки и возможных зон её проведения имеет флюоресцентная ангиография сетчатки.
Флюоресцентная ангиография является основным методом исследования, достоверно подтверждающим факт наличия и распространенность по площади ишемических зон сетчатки. Необходимость съемки всей периферии глазного дна очевидна. Преретинальная и препапиллярная неоваскуляризация легко обнаруживается на ангиограммах яркой гиперфлюоресценцией в результате экстравазального выхода красителя. Вследствие окклюзии перифовеолярных капилляров развивается ишемия макулы. Ишемическая макулопатия диагностируется при расширении центральной аваскулярной зоны в два раза по сравнению с нормальным ее диаметром (0,5 мм).
Профилактика и лечение
Скрининг
Правильная организация скрининговых исследований больных с диабетом позволяет своевременно и быстро выявлять группы риска возникновения и прогрессирования диабетической ретинопатии. Скрининг включает ежегодные осмотры пациентов с сахарным диабетом офтальмологом, включая биомикроскопию и прямую офтальмоскопию с широким зрачкам.
При СД 1-го типа эти осмотры начинают проводить спустя 5 лет от начала заболевания, а при СД 2-го типа — сразу после выявления.
- Если при первичном обследовании не выявлено диабетических изменений на глазном дне, дальнейшие осмотры осуществляют не реже 1 раза в год.
- Больные с некомпенсированным СД обследования проходят 1 раз в 6 мес даже при отсутствии патологических изменений на глазном дне.
- Необходимо также офтальмологическое обследование больных до и после перевода на интенсивную инсулинотерапию, так как быстрое снижение сахара крови может привести к транзиторной ретинопатии.
- Вероятность развития ДР у детей до 10 лет невелика, поэтому их осматривают 1 раз в 2-3 года.
- При беременности офтальмологическое обследование проводят каждые 3 мес. При прерывании беременности — ежемесячно в течение 3 мес после прерывания.
Следует хранить необходимую объективную информацию об изменениях глазного дна с помощью фотографирования стандартных полей сетчатки; ДЗН, макулярной области, зоны сетчатки кнаружи от макулярной области, верхнего и нижнего височных полей, верхнего и нижнего назальных полей.
Профилактика
Надёжных методов первичной профилактики ДР у больных СД не существует. Вместе с тем раннее выявление СД, диспансерный контроль за больным (включая и самоконтроль), своевременное и адекватное лечение как основного, так и сопутствующих заболеваний позволяют задержать возникновение клинических проявлений ДР, замедлить её прогрессирование и в большинстве случаев предупредить слепоту и инвалидность по зрению.
Больных с выявленным СД (без клинических признаков ДР) должен осматривать офтальмолог не реже одного раза в год. В случае постановки диагноза ДР:
- при наличии непролиферативной ретинопатии и/или гликозилированном гемоглобине более 10%, протеинурии, артериальной гипертензии — не реже одного раза в 6 мес.;
- при препролиферативной ретинопатии – каждые 3-4 мес.;
- при пролиферативной ретинопатии — каждые 2-3 мес.
Ухудшение зрения требует немедленного посещения офтальмолога.
Большое значение придаётся обучению больного СД методам самоконтроля, правильной диете, физическим упражнениям, отказу от курения, употребления алкоголя, уменьшению стрессовых нагрузок.
Основой профилактики и лечения ДР является оптимальная компенсация углеводного обмена. Многие авторы отмечают неблагоприятное воздействие на течение ДР артериальной гипертензии и диабетической нефропатии.
Таким образом, выявление и лечение сопутствующих заболеваний имеют существенное значение в профилактике прогрессирования ДР у больных СД. При невозможности определять степень гликозилированного гемоглобина (более объективный критерий) для суждения о степени компесации углеводного обмена, можно использовать данные уровня гликемии. Так приемлемым уровнем гликемии при ИЗСД натощак считают 7,8 ммоль/л и до 10 ммоль/л — после приёма пищи. Таких результатов значительно чаще удаётся добиться при интенсифицированной инслинотерапии, чем при использовании традиционной методики.
При ИНЗСД уровень гликемии может быть выше с учётом самочувствия больного. ИНЗСД часто сочетается с другими проявлениями метаболического синдрома «Х» , включающего в себя тканевую инсулинорезистентность, гиперинсулинемию, повышенную активность гипофизарно-надпочечниковой системы, гиперхолестеринемию, атеросклероз сосудов, артериальную гипертензию, ИБС, ожирение. Многие авторы отмечают, что колебания сахара крови в течение суток должны находиться в пределах 1.4 — 4.4 ммоль/литр.
Лечение
На всех стадиях ДР рекомендуется междисциплинарное ведение пациента с целью компенсации системных нарушений (нормализация уровня гликемии, артериального давления и показателей липидного обмена).
На стадии непролиферативной ДР специального офтальмологического лечения не требуется.
На стадии пре- и пролиферативной ДР рекомендуется панретинальная лазерная коагуляция.
При наличии клинически значимого макулярного отека рекомендуются лазерная коагуляция сетчатки, в сочетании с интравитреальными инъекциями ингибиторов ангиогенеза или глюкокортикостероида в виде импланта для интравитреального введения.
Хирургические вмешательства
Наиболее частая операция при ДР — витрэктомия — показана при:
- хроническом макулярном отеке, вызванном тракцией СТ;
- длительно существующем (более 3 мес) гемофтальме;
- тракционкой отслойке сетчатки (при давней распространённой тракционной отслойке сетчатки хирургическое лечение практически бесперспективно).
При вторичной неоваскулярной глаукоме рекомендуют крио- или диод-лазерные циклодеструктивные операции (фистулизирующие методы хирургического лечения неэффективны).

Лазеркоагуляция
Имеются два основных метода лечения — панретинальная и фокальная лазеркоагуляция.

- редукция или деструкция зон ретинальной гипоксии;
- сближение сетчатки с хориокапиллярным слоем;
- деструкция зон микроинфарктов и плохо перфузируемых капилляров;
- деструкция патологических сосудистых комплексов и сосудов с повышенной проницаемостью.
Рекомендуемый принцип — коагуляция должна захватывать всю поверхность сетчатки, за исключением папилло-макулярного пучка и макулярной зоны, расстояние между коагулятами не должно быть больше 1/2-3/4 их диаметра. Диаметр коагулятов от 100 до 200 мкм, увеличивается до 500 мкм при продвижении к периферии.
При проведении фокальной лазеркоагуляции рекомендуется наносить коагуляты диаметром 100-200 мкм при сосудистых аномалиях в парамакулярной зоне (коагулировать микроаневризмы, интраретинальные шунтированные комплексы) на расстоянии не менее 1/2 ПД. Также рекомендуют проводить лазеркоагуляцию новообразованных сосудов с диаметром коагулятов от 50 до 200 мкм, в зависимости от локализации очага неоваскуляризации. Авторами отмечается наличие довольно большого числа осложнений при лазерной коагуляции сетчатки, которые могут затрагивать практически все структуры глазного яблока.
Например, в сетчатке лазерное лечение может вызвать множественные повреждения сетчатки, сопровождаться появлением кровоизлияний, отслойкой сетчатки, развитием кистовидного отека макулы, нарушением перфузии диска зрительного нерва; что проявляется снижением остроты зрения, появлением дефектов поля зрения и ночной слепотой. К одним из наиболее тяжелых осложнений лазеркоагуляции относят отслойку сетчатки, чаще встречающуюся при панретинальной лазерной коагуляции.
Методика «щадящей» лазеркоагуляции сетчатки

1 — расстояние от центральной ямки до коагулята (2500 мкм),
2 — коагулят диаметром 100 мкм,
3 — расстояние между коагулятами 1500 мкм.
Щадящая лазерная перфорация пигментного эпителия сетчатки без выключения остальных ее элементов дает хороший прогностический эффект у больных с диабетической ретинопатией без побочного влияния на ее функциональное состояние. Выявлено и подтверждено клиническими наблюдениями, что ведущими факторами в механизме лечебного действия «щадящей» лазеркоагуляции является создание окон в пигментном эпителии для облегчения движения тканевой жидкости.
Щадящая лазеркоагуляция проводится с использованием зеленой составляющей спектра излучения офтальмологического аргонового лазера в условиях медикаментозного мидриаза. Нанесение лазерных коагулятов осуществляется через панфундус-линзу или трехзеркальную линзу Гольдмана после предварительной поверхностной инстилляционной анестезии 0,5% раствором дикаина.
На первом этапе выполняется барраж макулярной зоны в виде подковы, раскрытой в сторону ДЗН. Коагуляты наносятся на расстоянии не менее 2500 мкм от центральной ямки.
Режим работы следующий:
- мощность — 140-300 мВт;
- время экспозиции — 0,04-0,2 сек;
- диаметр лазерного луча в фокальной плоскости — 100 мкм;
- количество аппликаций — 20-30.
Барраж выполняется в режиме единичных вспышек. Затем лазер переводится в автоматический режим работы и проводится коагуляция остальных отделов сетчатки, за исключением папилло-макулярного пучка. Используются вышеприведенные параметры излучения. Всего наносится 400-450 аппликаций, расположенных друг от друга на расстоянии 1500 мкм.
Вопрос-ответ
Как видит человек с диабетической ретинопатией?
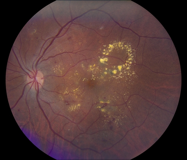
Симптомы диабетической ретинопатии. Массивные кровоизлияния в стекловидное тело приводят к быстрой и полной потере зрения. Развитие отека центральных отделов сетчатки, ответственных за чтение и способность видеть мелкие предметы, также может вызывать ощущение пелены перед глазом (рис. 1).
Как остановить диабетическую ретинопатию?
Чтобы диабетическая ретинопатия не прогрессировала, нужна операция — коагуляция сетчатки. По данным исследований, на сегодня этот метод — самый эффективный для лечения диабета глаза и предупреждения слепоты. Он укрепляет сетчатку, снижает риск кровоизлияния.
Как понять, что у тебя ретинопатия?
Ретинопатия может проявляться различными симптомами, такими как размытость зрения, появление темных пятен или «мушек» перед глазами, искажение изображений или снижение ночного зрения. Если вы заметили изменения в зрении, особенно если у вас есть факторы риска, такие как диабет или гипертония, важно обратиться к офтальмологу для диагностики и обследования.
Советы
СОВЕТ №1
Регулярно проверяйте уровень сахара в крови. Поддержание оптимального уровня глюкозы поможет замедлить прогрессирование диабетической ретинопатии и снизить риск осложнений.
СОВЕТ №2
Посещайте офтальмолога не реже одного раза в год. Регулярные осмотры глаз позволят выявить изменения на ранних стадиях и начать лечение, что может предотвратить потерю зрения.
СОВЕТ №3
Следите за артериальным давлением и уровнем холестерина. Контроль этих показателей также важен для снижения риска развития диабетической ретинопатии и других сердечно-сосудистых заболеваний.
СОВЕТ №4
Соблюдайте здоровую диету и занимайтесь физической активностью. Правильное питание и регулярные физические нагрузки помогут контролировать диабет и улучшить общее состояние здоровья.
Диабетическая катаракта. Истинная диабетическая катаракта встречается чаше у детей и молодых людей, чем у пожилых, чаще у женщин, и, как правило, бывает двусторонней. В отличие от возрастной, диабетическая катаракта, прогрессирует очень быстро и может развиться в течение 2-3 месяцев, нескольких дней и даже часов (при диабетическом кризе). В диагностике диабетической катаракты большое значение имеет биомикроскопия, позволяющая выявить хлопьевидные беловатые помутнения в самых поверхностных субэпителиальных слоях хрусталика, помутнения под задней капсулой, субкапсулярные вакуоли в виде темных, оптически пустых, круглых или овальных зон. Однако в отличие от слепоты при ретинопатии слепота при диабетической катаракте поддается хирургическому лечению.